
Рис. 4.4. Истинный травматический передний вывих CII у ребенка 16 лет. Линия Swischuk не нарушена (дуга CII не сломана). Имеется разобщение суставных поверхностей CII–CIII. Смещение CII кпереди и вниз на Vi тела CIII
При обнаружении пороков развития с нестабильностью CI–CII или воспалительных процессов в этой области величину SAC необходимо уточнять по КТ, так как она может уменьшаться за счет гипертрофии связок зубовидного отростка. SAC может быть увеличено при пороках за счет spina bifida posterior CI, что является нередкой аномалией, компенсирующей ширину позвоночного канала и не нарушающей стабильности в атланто-аксиальном сочленении.
Необходимо учитывать не только абсолютную величину сустава Крювелье, но и ее увеличение на функциональных рентгенограммах, дельта не более 2 мм. Атланто-аксиальное сочленение не обеспечивает сгибание в шее, и переднезадний люфт в этом суставе должен быть минимален.
Псевдоперелом Джефферсона (рис. 4. 7)
Определяется на трансоральных рентгенограммах как выстояние суставных площадок атланта (до 6 мм) над суставными площадками аксиса. Типичный рентгенологический феномен у детей до 4 лет, но встречается и до 7-летнего возраста [9]. Связан с отсутствием окостенения латеральных поверхностей суставных фасеток CII.
Ядро окостенения верхушки зубовидного отростка (рис. 4. 7)
Визуализируется отдельно от тела у 26 % детей от 6 до 8 лет, что может имитировать перелом [2, 3].

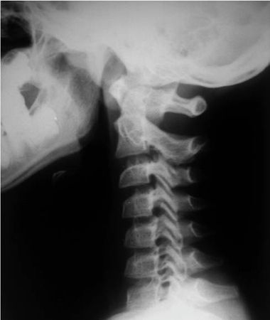
Рис. 4.5. Боковая рентгенограмма шейного отдела позвоночника здорового ребенка 8 лет. Широкое переднее атланто-дентальное расстояние – ADI (сустав Крювелье) вариант нормы. Широкое заднее атланто-дентальное расстояние – SAC. ADI + зубовидный отросток < SAC. Правило Still не нарушено

Рис. 4.6. Передний вывих атланта после незначительной травмы у ребенка 9 лет на фоне порока развития позвоночника "зубовидная кость". ADI>SAC. Позвоночный канал резко сужен. ADI + зубовидный отросток занимают резервное пространство для спинного мозга – правило Still нарушено
Отсутствие лордоза у детей до 16 лет (рис. 4.8)
Закладка шейного лордоза, как и остальных сагиттальных изгибов позвоночника, происходит во внутриутробном периоде. Возрастной рентгенологической нормы для детей не существует.

Рис. 4.7. Трансоральная рентгенограмма здорового ребенка 4 лет. Вертикальными линиями ограничены видимые края суставных площадок CI и CII. Стрелкой указано отдельное ядро окостенения верхушки зубовидного отростка, расположенное в седловидной выемке основной части эпистрофея
Выпрямление сагиттального профиля шейного отдела позвоночника у взрослых является показателем патологии и чаще всего рассматривается как признак болевой контрактуры.
Отсутствие лордоза или легкое кифозирование в среднешейном отделе позвоночника обнаруживается на сагиттальных рентгенограммах в среднем положении головы у 14 % здоровых детей с 8 до 16 лет [7]. Делая заключение необходимо учитывать особенности укладки (рис 4.8 В)!
Для дифференциальной диагностики с травматическими изменениями необходимо произвести рентгенограмму с разгибанием, на которой в случае нормы лордоз восстановится.
Частичное захождение передней дуги атланта на зубовидный отросток (рис. 4.9)
Наблюдается у 20 % детей от 1 до 7 лет на рентгенограммах в боковой проекции с разгибанием [6]. Захождение может достигать 2/3 передней дуги CI. Данный феномен объясняется хрящевым строением верхушки зубовидного отростка.
Расширение интерспинального расстояния CI–CII (рис. 4.10)
Расстояние между остистыми отростками – показатель целостности связочного аппарата в шее, и в норме не должно отличаться более чем в 1,5 раза в сегменте выше или ниже исследуемого [5, 6, 7]. У детей это расстояние может резко увеличиваться между CI–CII, что является обычной рентгенологической находкой в норме [5, 7].

А

Б

В
Рис. 4.8. Отсутствие лордоза у детей до 16 лет А – нормальный лордоз у подростка 14 лет.
Б – боковая рентгенограмма здорового ребенка 9 лет. Прямой сагиттальный профиль. Вариант нормы.
В – пологое кифозирование на уровне CII–CV у ребенка 6 лет. Снимок сделан лежа – видна поверхность стола, и голова наклонена вперед. Сагиттальный профиль связан с особенностью укладки

Рис. 4.9. Феномен захождения передний дуги атланта над зубовидным отростком на боковой рентгенограмме здорового ребенка 3 лет

Рис. 4.11. Расширение ретрофарингеального пространства в области взрывного перелома тела CV у ребенка 15 лет (указано стрелкой)

Рис. 4.10. Широкое интерспинальное расстояние CI–CII на рентгенограмме шейного отдела позвоночникам у здорового ребенка 6 лет
Тень паравертебральных тканей перед телами позвонков на боковых рентгенограммах (ретрофарингеальное пространство) – показатель кровоизлияния или отека в результате травмы (рис. 4.11).
Тень до 6 мм у детей на уровне CIII вариант нормы. Для снятия подозрения на травму необходимо повторить снимок на вдохе при разгибании шеи [7].
Литература
1. Jones E. T. Fractures of the spine / E. T. Jones, R. T. Loder, R. N. Hensinger //
Fractures in children / eds. C. A. Rockwood Jr. [et al.]. – Philadelphia, 1996. – P. 1023–1061.
2. Henrys P. Clinical review of cervical spine injuries in children / P. Henrys, D. L. Lyne, C. Lifton, G. Salciccioli // Clin. Orthop. – 1977. – N 129. – P. 172–176.
3. Bonadio W. A. Cervical spine trauma in children. General concepts, normal anatomy, radiographic evaluation / W. A. Bonadio // Am. J. Emerg. Med. – 1993. – Vol. 11. – P. 158–165.
4. Campbell’s Operative Orthopedics, 11th Edition / ed. by S. Canale, J. Beaty. – 2008. – 5512 p.
5. Lustrin E. S. Pediatric cervical spine: normal anatomy, variants, and trauma / E. S. Lustrin [et al.] // RadioGraphics. – 2003. – Vol. 23. – P. 539–560.
6. Swischuk L. Imaging of the Cervical Spine in Children. – Springer, 2004. – 141 p.
7. The Cervical Spine, 4th Edition / ed. by C. R. Clark. – Lippincott Williams and Wilkins, 2004. – 1250 p
V. Причины синдрома острой кривошеи у детей
Самой важной задачей хирурга при обследовании детей с острой кривошеей было исключение травмы, деструктивных процессов, манифестации пороков и истинных атланто-аксиальных ротационных подвывихов. Мы диагностировали в группе больных, поступавших с рабочим диагнозом "острая кривошея" взрывной перелом CV, атланто-аксиальный передний вывих на фоне зубовидной кости и 9 атланто-аксиальных ротационных подвывихов. У остальных 196 человек причина острой кривошеи оставалась неизвестна. Поставив задачу выяснить эту причину, мы обнаружили два новых состояния, которые обозначили как "унковертебральный клин" и аномалия тропизма CII–CIII.