Вполне очевидно, что кривошея и болевой синдром являются неспецифическими симптомами, которые могут сопровождать различные поражения шейного отдела позвоночника. Поэтому в своей практике с 2003 года до получения окончательных клинических и лучевых данных по объяснению причин страдания мы начали использовать рабочий диагноз "острая кривошея". При обнаружении субстрата патологии диагноз уточняется. То есть используется такой же принцип синдромальной терминологии, широко принятый в детской хирургии, как "острый живот", "острая мошонка" и т. п. с дальнейшим топическим диагнозом по мере дополнительного обследования и динамического наблюдения.
При окончательной оценке рентгенологическая картина не являлась единственно определяющей для постановки диагноза. Хорошо известным фактом является то, что у детей, не имеющих кривошеи, при проведении трансоральных рентгенограмм, часто наблюдается косое положение зубовидного отростка и несовпадение суставных щелей CI–CII.
При анализе рентгенограмм наличию кифотических деформаций и соотношению суставных поверхностей дугоотросчатых суставов придавалось не меньшее значение, чем несоответствию в сегменте CI–CII.
Диагноз ротационного подвывиха атланта выставлялся при положении головы в позе "дрозда" и при наличии рентгенологического, а по возможности и компьтерно-томографического подтверждения.
В большинстве случаев лучевое исследование служило методом исключения тяжелых поражений, таких как переломы, вывихи, аномалии развития и деструктивные процессы.
Литература
1. Staheli L. T. Practice of pediatric orthopedics / L. T. Staheli. – Philadelphia: Lippincot and Wilkins, 2006. – 460 p.
2. Ballock R. The Prevalence of Nonmuscular Causes of Torticollis in Children / R. Ballock, K. Song // J. Pediatr. Orthop. – 1996. – Vol. 16, N 4. – P. 500–504.
3. Мозгунов А. В. Д иагностика и лечение острого атланто-аксиального подвывиха у детей и подростков: автореф. дис. … канд. мед. наук / А. В. Мозгунов. – Курган, 2004. – 22 с.
4. Clark Ch. R. The сervical spine / Ch. R. Clark. – 4th ed. – Philadelphia: Lippincot and Wilkins, 2005. – 1250 p.
5. Nemet D. Acute acquired non-traumatic torticollis in hospitalized children / D. Nemet [et al.] // Harefuah. – 2002. – Vol. 141, N 6. – P. 519–521.
6. Blankstein A. Acquired torticollis in hospitalized children / A. Blankstein [et al.] // Harefuah. – 1997. – Vol. 133. – N 12. – P. 616–619.
7. Nicholson P. Three-dimensional spiral CT scanning in children with acute torticollis / P. Nicholson [et al.] // Int. Orthop. – 1999. – Vol. 23, N 1. – P. 47–50.
8. Phillips W. A. The management of rotatory atlanto-axial subluxation in children / W. A. Phillips, R. Hensinger // J. Bone Joint Surg. – 1989. – Vol. 71-A, N 5. – P. 664–668.
9. Subach B. R. Current management of pediatric atlantoaxial rotatory subluxation / B. R. Subach, M. R. McLaughlin, A. L. Albright, I. F. Pollack // Spine. – 1998. – Vol. 23, N 20. – P. 2174–2179.
10. Бондаренко Н. С. Вывихи и подвывихи атланта у детей и подростков / Н. С. Бондаренко, В. М. Казицкий, Б. Л. Д овгань // О ртопедия, травматология. – 1988. – № 2. – С. 51–55.
11. Гисак С. Н. Экологические аспекты острой кривошеи у детей / С. Н. Гисак, А. А. Тогидный, В. И. Шушлебин, Н. Г. Звягинцева // Прикладные информационные аспекты медицины: сб. науч. трудов. – 1998. – Т. 1, № 2. – 94 с.
IV. Особенности строения шейного отдела позвоночника у детей
Знание особенностей строения и биомеханики шейного отдела позвоночника у детей – ключ к пониманию лучевой картины и, соответственно, уменьшению диагностических ошибок.
Идея о "слабости" и "незрелости" шейного отдела позвоночника у детей опровергается статистикой травм этой области. Эпидемиологические исследования, проведенные в крупной детской больнице, дали частоту 1,3 поступивших с травмой шеи детей в год в течение 15 летнего периода [1]. По другим данным из 631 пациентов с травмой шейного отдела позвоночника было только 12 детей (1,9 %) [2]. Повышенная эластичность связок, лишенные дегенеративных изменений диски и дугоотросчатые суставы, очевидно, прекрасно адаптируют ребенка к подвижному, с большим количеством незначительных травм, образу жизни без тяжких последствий.
Мы предполагаем, что большинство описанных ниже особенностей являются основой обеспечения высокой подвижности, эластичности и прочности этой части тела ребенка.
Физиологическая гипермобильность второго шейного позвонка (рис. 4.1–4.4)
Обозначается в иностранной литературе как "псевдолюксация". Впервые данный феномен был описан независимо в 1952 году Townsend & Rowe и Bailey, а затем подтвержден множеством авторов, изучающих различные по численности группы детей [3, 4]. В отечественной практике часто указывается как "признак нестабильности", объясняющий природу таких симптомов как боль и дискомфорт в шее, головные боли и даже плохую успеваемость. Работ подтверждающих это в рамках доказательной медицины нет. Учитывая, что основной локализацией дегенеративных изменений у взрослых сегмент CII–CIII не является, гипермобильность в этой зоне в детстве не является "предвестником остеохондроза". Причиной такой подвижности является более горизонтальное положение фасеток дугоотросчатых суставов и связочная эластичность. При этом центром сгибания и разгибания в шее у детей является сегмент CII–CIII, а у взрослых CV–CVI. Можно предположить, что высокий центр сгибательных движений биомеханически обоснован в связи с относительно большой массой головы, что делает необходимым укорочение рычага относительно центра опоры для большей стабильности. До 8 лет смещение CII кпереди на функциональных рентгенограммах может достигать 2–4 мм [5]. Данный феномен также встречается на уровне CIII–CIV–CV. Может потребоваться дифференциальная диагностика с "переломом палача" (травматический передний вывих и переломом дуги аксиса) (рис 4.2, 4.3, 4.4).
Клиновидная форма тел шейных позвонков (рис. 4.1)
У детей наиболее выражена в CIII и CIV. Это может имитировать компрессионный перелом [3]. Наиболее подробно эта проблема изучена в работе L. Swischuk и соавт., которые проанализировали рентгенограммы 481 ребенка [6]. Авторы считали причиной клиновидности гипермобильность CII, приводящую к компактизации передних отделов тела CIII. Доказательством этому служило исчезновение деформации тела позвонка с уменьшением "псевдолюксации" в старшем возрасте. Частота такой клиновидности достигает 7,1 %.

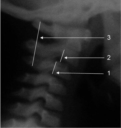
Рис. 4.1. Спондилограмма здорового ребенка 6 лет.
1. Клиновидная деформация тела CIII.
2. Физиологическая гипермобильность CII (псевдолюксация).
3. Линия Swischuk касается основания остистого отростка CII (объяснения см. рис. 4.2

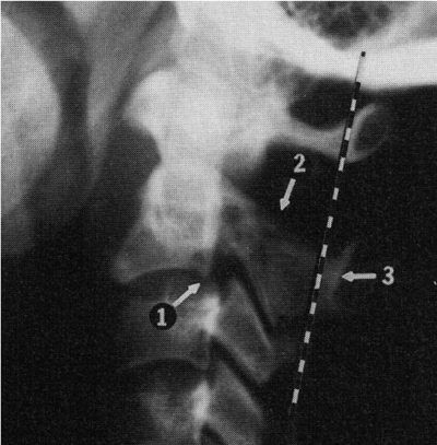
Рис. 4.2. Линия Swischuk (задняя спинальная линия) проводится между основаниями остистых отростков CI и CIII. В норме основание остистого отростка CII лежит (А) на или пересекается этой линией или отстоит от нее не более чем на 1 мм (В). При "переломе палача" основание остистого отростка CII смещается назад от линии более чем на 1,5–2 мм (С), (цит. по L. Swischuk Imaging of the Cervical Spine in Children. Springer, 2004, p. 22).

Рис. 4.3. Перелом "палача" (цит. по L. Swischuk Imaging of the Cervical Spine in Children. Springer, 2004, p. 102).
1. Тело CII смещено кпереди.
2. Перелом дуги CII.
3. Основание остистого отростка CII смещено кзади от линии Swischuk более чем на 2 мм
Широкий сустав Крювелье (рис. 4.5–4.6)
Передний атлантодентальный интервал (ADI) – расстояние от заднего края дуги CI до передней поверхности зубовидного отростка. Достигает 4–5 мм у детей до 8 лет и 3 мм в более старшем возрасте [5]. Величина 10–12 мм является критической, так как дальнейшее расширение сустава Крювелье ведет к сдавлению спинного мозга [6]. "Правило трех" Still является важным показателем свободы для спинного мозга и не меняется в процессе роста [7]. Согласно правилу, зубовидный отросток занимает 1/3 позвоночного канала, 1/3 должна быть резервным пространством, 1/3 занимает спинной мозг. В любом случае расстояние передняя дуга атланта-зуб должно быть меньше расстояния зуб-задняя (SAC – Space Available for the Cord). Величина зуб-задняя дуга атланта менее чем 13 мм – признак сдавления спинного мозга (рис. 4.6)