Норберт Эдвард - Homo Sapiens. Краткая история эволюции человечества стр 7.

Шрифт
Фон

Из дискретности логически вытекает другое свойство генов – их стабильность. Гены способны функционировать, не изменяя собственной структуры. Короче говоря, каким ген был, таким он и остается после считывания с него наследственной информации.

Но в то же время стабильность генов сочетается с их лабильностью – способностью изменяться.

Вы удивлены? Да, тут есть чему удивляться. Как один и тот же ген одновременно может быть и стабильным, и лабильным?! Это же взаимоисключающие понятия!

Взаимоисключающие, спору нет. Но, тем не менее, гену присущи и стабильность и лабильность. Сам по себе, как структурная единица, как фрагмент молекулы ДНК, ген стабилен. В процессе исполнения своих функций ген никак не изменяется. Изменяется он при копировании ДНК или же при повреждении ДНК. Гены способны изменяться в результате каких-то «глобальных» (с точки зрения генов) процессов, происходящих со всей молекулой ДНК. Но сам по себе ген стабилен.

Одни и те же гены, то есть гены, отвечающие за развитие одного признака, могут существовать в различных формах, которые называются аллелями (не путайте, пожалуйста, аллели с аллеями). Обычно аллельных генов два, один получен от матери, а другой – от отца.

Аллельные гены могут подавлять друг друга. Так, например, ген карих глаз подавляет ген голубых глаз. Если у отца глаза карие, а у матери – голубые, то у ребенка, скорее всего, будут карие глаза. Более сильный ген (а также и признак) называется доминантным, а слабый, подавляемый – рецессивным. Рецессивный признак может проявиться только в том случае, если в аллельной паре сойдутся два рецессивных гена (вспомните об этом, когда станете читать про кобылу лорда Мортона).

Запомните или запишите в свои молескины, что одни и те же гены могут существовать в различных формах – аллелях, и что аллельные, или парные, гены могут друг друга подавлять.

Гены обладают экспрессивностью. Это свойство можно назвать «силой гена». Экспрессивность определяет степень выраженности гена в кодируемом им признаке. Чем ген экспрессивнее, тем он более выражен, тем сильнее он подавляет своего аллельного собрата.

Мы получаем по комплекту генов от отца и матери. По каждому кодируемому признаку мы имеем парный набор генов. Те гены, которые являются более экспрессивными, подавляют в парах-аллелях менее экспрессивные гены. Конкуренция в рамках пары генов приводит к тому, что одни признаки наследуются от отца, а другие – от матери. Но никогда в наследовании не будет половинчатости! Невозможно унаследовать один признак наполовину от матери и наполовину от отца, потому что гены не смешиваются друг с другом. Даже в парах, отвечающих за один и тот же признак, не смешиваются. Подавлять друг друга гены могут, а смешиваться – нет.

Молекулы ДНК в наших клетках «упакованы» в хромосомы – структуры из молекулы ДНК и нескольких молекул белков. Каждая хромосома представляет собой одну молекулу ДНК. У каждого биологического вида в норме должно быть строго определенное число хромосом. У человека их сорок шесть.

Набор хромосом называется кариотипом. Также кариотипом называется совокупность признаков полного набора хромосом данного организма. Обратите внимание – совокупность признаков полного набора хромосом, а не совокупность признаков организма, определяемая этим набором хромосом. Совокупность внешних и внутренних признаков организма называется фенотипом. А совокупность всех генов организма называется генотипом.

Проще говоря – генотип выглядит как кариотип и определяет фенотип. Обратите внимание на то, что все названия «типов» в этой фразе расположены в алфавитном порядке – генотип, кариотип, фенотип. Это поможет вам правильно запомнить последовательность.

Свое звучное название хромосомы получили благодаря своей способности связывать ряд красителей, используемых для приготовления «микроскопических» препаратов, проще говоря – за способность к окрашиванию. «Хромосома» в переводе с греческого означает «окрашенное тело».

В периоде между делениями клетки хромосомы компактно собраны в клеточное ядро, которое во время деления распадается на отдельные хромосомы. Сдвоенные хромосомы (вспомните, что набор генов парный), тонкие нити которых скручены в относительно толстую спираль, видны в микроскоп. Они имеют вид буквы «Х» с перемычкой-центромерой посередине.

Интересная деталь – несмотря на то, что человек считается «венцом творения» природы, хромосом у нас с вами не очень-то и много. У собак их семьдесят восемь, у камчатского краба (и вообще у всех представителей надсемейства раков-отшельников) – 254, а у некоторых одноклеточных – более тысячи! Количество хромосом в клетке живого организма никак не связано с уровнем его организации. А с чем связано – науке пока еще неизвестно.

В обычной клетке (такие клетки называются соматическими) схожие по форме и генному составу хромосомы условно можно разбить на пары. Одна хромосома в паре получена от матери, другая – от отца. Парные (схожие) хромосомы называются гомологичными, а набор хромосом, содержащий пары гомологов, называется диплоидным.


Сдвоенная хромосома


Половые клетки (гаметы) содержат половину диплоидного набора – по одной хромосоме из каждой пары. Такой набор называется гаплоидным.

Парные хромосомы, одинаковые у мужских и женских организмов, называются аутосомами. Хромосомы, набор которых отличает мужские и женские особи, называются половыми хромосомами.


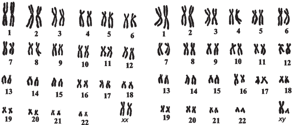
Хромосомный набор человека


Нормальный хромосомный набор (кариотип) человека представлен 46 хромосомами. Это 22 пары аутосом и одна пара половых хромосом – XY[4] в мужском кариотипе и XX – в женском. Посмотрите на рисунок, и вы увидите, что половые хромосомы получили обозначение по сходству с соответствующими буквами алфавита.

Половых хромосом может быть и больше одной пары. Так, например, утконос имеет пять пар половых хромосом. Мужской пол у утконоса задается комбинацией XYXYXYXYXY, а женский XXXXXXXXXX.

В мужском кариотипе содержатся две разные половые хромосомы (X и Y), а в женском – две одинаковые (XX). Соответственно, сперматозоиды могут иметь разные половые хромосомы – X или Y, а яйцеклетки – только Х-хромосому. Таким образом, за пол ребенка «отвечает» отец, от которого мать может получить разные половые хромосомы.

Совокупность наследственного материала, заключенного в гаплоидном наборе хромосом клеток данного вида организмов, называется геномом.

Совокупность генов данного организма называется генотипом.

Совокупность всех генных вариаций конкретной популяции называется генофондом.

Давайте скажем проще:

– у отдельного человека – генотип;

– у биологического вида Homo sapiens sapiens (Человек разумный разумный) – геном;

– у гуанчи (коренное население Канарских островов) или, к примеру, икашимцев (одна из народностей Южного Памира) – генофонд. Также иногда термин «генофонд» употребляется применительно к народам, этносам, расам.

Признаки, полученные в ходе приспособления к условиям окружающей среды, передаются по наследству. Важно правильно понимать механизм образования такого приспособления. Шея у жирафа вытянулась не из-за стремления к высоко расположенным листьям, а из-за того, что на протяжении многих поколений больше шансов на выживание и оставление потомства имели особи с более длинной шеей. Они могли питаться листьями, которые были недоступны их собратьям, следовательно, они питались лучше, были крупнее, сильнее, здоровее… Со временем «длинношеесть» закрепилась в геноме у жирафов.

Ваша оценка очень важна

0
Шрифт
Фон

Помогите Вашим друзьям узнать о библиотеке

Скачать книгу

Если нет возможности читать онлайн, скачайте книгу файлом для электронной книжки и читайте офлайн.

fb2.zip txt txt.zip rtf.zip a4.pdf a6.pdf mobi.prc epub ios.epub fb3