Уильям Бейтс - Совершенное зрение без очков. Лечение несовершенного зрения без помощи очков стр 17.

Шрифт
Фон

Рис. 19. Демонстрация на примере глаза карпа того, что прямые мышцы укорачивают зрительную ось при гиперметропии

R, состояние покоя. Глазное яблоко имеет нормальную длину и находится в состоянии эмметропии. Ну, гиперметропия. Натяжение внешней и внутренней прямых мышц было усилено путем перемещения, и ретиноскоп показывает, что возникла гиперметропия. Еще легче заметить, что глазное яблоко стало короче. Линейка показывает, что фокус камеры не был существенно изменен между этими двумя фотографиями.


Глаза, из которых был удален хрусталик или в которых он был смещен со зрительной оси, реагировали на стимуляцию электрическим током точно так же, как это делали нормальные глаза, все то время, что мышцы были активны. Но когда они были парализованы инъекцией атропина глубоко в глазницу, стимуляция не оказывала никакого влияния на рефракцию.


Рис. 20. Хрусталик смещен со зрительной оси.

В этом эксперименте на глазу карпа хрусталик был вытеснен со зрительной оси. Аккомодация имеет место после этого смещения точно так же, как и в предыдущих случаях. Заметьте точку на ноже в зрачке на передней поверхности хрусталика.


В одном из экспериментов из правого глаза кролика был удален хрусталик. Сначала рефракция каждого глаза была проверена при помощи ретиноскопа и оказалась нормальной. Потом ранке дали время зажить. После этого в период времени, начиная от одного месяца и до двух лет, в глазу с удаленным хрусталиком всегда удавалось воспроизвести аккомодацию при помощи стимуляции электрическим током в том же объеме, что и в глазу, имевшем хрусталик. Тот же эксперимент с таким же результатом был проведен на нескольких других кроликах, на собаках и на рыбах. Очевидный вывод хрусталик не является фактором в процессе аккомодации.


Рис. 21. Кролик с удаленным хрусталиком

Это животное было представлено на заседании офтальмологов Американской ассоциации, проведенном в Атлантик-Сити, и было исследовано несколькими присутствовавшими там офтальмологами, все из которых свидетельствовали о том, что стимуляция глазного яблока электрическим током приводит к возникновению аккомодации или миопической рефракции точно так же, как и в нормальном глазу.


В большинстве учебников по физиологии написано, что аккомодация контролируется третьим черепным нервом, который снабжает все мышцы глазного яблока за исключением верхней косой и внешней прямой мышц. Но в этих экспериментах было обнаружено, что четвертый черепной нерв, который снабжает только верхнюю косую мышцу,  такой же нерв аккомодации, как и третий. Когда либо третий, либо четвертый нерв был стимулирован электрическим током возле точки его выхода из головного мозга, в нормальном глазу всегда возникала аккомодация. Когда начало каждого нерва было покрыто маленьким кусочком ваты, смоченным двухпроцентным раствором атропина сульфата в нормальном физиологическом растворе, стимуляция этого нерва не приводила к возникновению аккомодации, тогда как стимуляция не парализованного нерва воспроизводила ее. Когда основания обоих нервов были покрыты ватой, смоченной в атропине, аккомодацию не удавалось получить путем стимуляции электрическим током одного из них или обоих нервов. Когда вата была удалена и нервы промыты нормальным физиологическим раствором, стимуляция одного или обоих нервов электрическим током воспроизводила аккомодацию точно так же, как и до применения атропина. Этот эксперимент, проведенный повторно в течение более одного часа попеременным применением и удалением атропина, не только ясно продемонстрировал то, о чем ранее не было известно, а именно то, что четвертый нерв является нервом аккомодации, но также продемонстрировал, что верхняя косая мышца, которая его снабжает, является значимым фактором в процессе аккомодации. Далее было обнаружено, что когда не давали действовать косым мышцам путем их рассечения, стимуляция третьего нерва воспроизводила не аккомодацию, а гиперметропию.


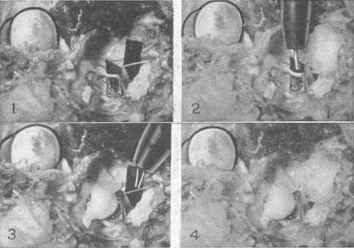
Рис. 22. Эксперимент на примере глаза кошки, демонстрирующий то, что четвертый нерв, который снабжает только верхнюю косую мышцу, является точно таким же нервом аккомодации, как и третий, и что верхняя косая мышца, которую он снабжает, есть мышца аккомодации

 1 Оба нерва были выведены наружу возле их основания в головном мозге, и полоска черной бумаги была вложена позади каждого, для того чтобы изображение можно было увидеть. Четвертый нерв это тот, что поменьше. Верхняя косая мышца была перемещена путем подгибания. Так как эта мышца всегда недоразвита у кошек, то до тех пор, пока ее натяжение не усиливают, аккомодация у этих животных не воспроизводится. Стимуляция одного или обоих нервов импульсным током способствовала возникновению аккомодации.

Ваша оценка очень важна

0
Шрифт
Фон

Помогите Вашим друзьям узнать о библиотеке

Скачать книгу

Если нет возможности читать онлайн, скачайте книгу файлом для электронной книжки и читайте офлайн.

fb2.zip txt txt.zip rtf.zip a4.pdf a6.pdf mobi.prc epub ios.epub fb3