Йоханна Гилльбро - О чем мечтает ваша кожа. Революционный подход, который изменит ваше отношение к уходу, питанию и выбору косметики стр 5.

Книгу можно купить на ЛитРес.
Всего за 569 руб. Купить полную версию
Шрифт
Фон

ФИБРОБЛАСТЫ

Клетки, которые производят эластин, коллаген и гиалуроновую кислоту, называются фибробластами. Чем старше мы становимся, тем меньше этих веществ вырабатывается в фибробластах. Изображение выше показывает, как на самом деле выглядят фибробласты (красные) при сильном увеличении



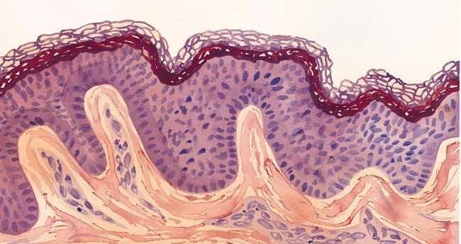
ГИСТОЛОГИЧЕСКИЙ СНИМОК КОЖИ

Когда по какой-то причине вам необходимо сделать биопсию, ткани кожи окрашивают в разные цвета и снимок выглядит так. На снимке эпидермис окрашен в лиловый, ядра клеток синие (кератиноциты, меланоциты и фибробласты). Красный и фиолетовый цвет показывают роговой слой сверху, а бежевый богатый коллагеном дермальный слой


В дерме же расположена сеть кровеносных сосудов, которые снабжают кожу кислородом и питательными веществами. Там же находятся лимфатические сосуды, которые собирают отработанную жидкость из тканей, транспортируя к ней иммунные клетки.

Гиподерма глубинный слой кожи

Гиподерма подкожный жир, или подкожная клетчатка. Самый глубокий из трех слоев, защищающий от холода. Его клетки хранители жира называются адипоцитами. Здесь также находятся кровеносные и лимфатические сосуды и нервные волокна. Поразительно, как толщина подкожной клетчатки отличается от одной части тела к другой. В ходе исследований мне доводилось увидеть в разрезе многие типы кожи. В области живота она очень толстая, около трех миллиметров; на лице и на веках практически незаметна. В настоящее время проводятся научные исследования, цель которых увеличение толщины гиподермы (подкожной жировой клетчатки). Это могло бы частично предотвратить провисание кожи.


Целлюлит

Целлюлит встречается у 85 % женщин, намного реже у мужчин. Причина повышенная выработка эстрогена. Кроме того, более толстые слои кожи у мужчин скрывают целлюлит.



АДИПОЦИТ

Клетки, накапливающие жир, называются адипоцитами и имеют шарообразную форму


У мужчин и женщин разная структура и назначение подкожно-жировой ткани. В случае беременности женское тело должно быть в состоянии сформировать резервный жировой слой, чему также способствует специфическое строение гиподермы женской кожи.

Откуда берутся шрамы?

Кожа является защитной оболочкой тела. Но имеет и собственную систему защиты. Если мы поранились, практически сразу начинается процесс регенерации, состоящий из трех фаз: воспаление, формирование новой ткани и заживление. Изучая процесс заживления ран, можно многое узнать о трех «умных» слоях кожи.

Фаза воспаления начинается в момент, когда ткань повреждается и начинает кровоточить. У тромбоцитов крови две главные задачи: остановить кровотечение и привлечь иммунные клетки для заживления. Последние очищают рану от бактерий, мертвых тканей и посторонних веществ. Воспаление продолжается до тех пор, пока область повреждения не будет очищена. Чтобы временно «заклеить» рану, в коже образуются белки.

Во время второй фазы формирование новой ткани клетки кожи вокруг раны начинают размножаться. Образуются новые фибробласты и кератиноциты. Фибробласты производят коллаген, эпидермис восстанавливается за счет образования новых кератиноцитов. Таким образом рана постепенно затягивается.

После этого начинается фаза заживления: кожа восстанавливается, заново выстраивая структурные конструкции из коллагена, эластина и гиалуроновой кислоты в дерме. Шрам образуется только в том случае, если коллаген формируется сгустками для придания ткани большей прочности.


Слюна лечит раны!

Хорошо известно, что раны в полости рта заживают гораздо быстрее и с менее заметными шрамами. Одна из причин наличие слюны, которая содержит особые белки и пептиды с бактерицидным эффектом, в частности лизоцим. Вот почему животные частенько зализывают раны. У людей тоже сохранился этот рефлекс: возникает желание облизать порезанный палец. В настоящее время проводятся научные изыскания в области имитации заживляющих свойств слюны.

Глава II

Типы кожи

Под типом кожи мы подразумеваем ее внешний вид, качество и видимые характеристики.

Нормальная кожа

Нормальная кожа упругая, мягкая и эластичная. Увы, сегодня на вопрос о том, считают ли они свою кожу нормальной, большинство ответит нет.

Ваша оценка очень важна

0
Шрифт
Фон

Помогите Вашим друзьям узнать о библиотеке

Скачать книгу

Если нет возможности читать онлайн, скачайте книгу файлом для электронной книжки и читайте офлайн.

fb2.zip txt txt.zip rtf.zip a4.pdf a6.pdf mobi.prc epub ios.epub fb3