Вячеслав Ордынский - Эхографическая оценка структуры плаценты стр 4.

Книгу можно купить на ЛитРес.
Всего за 409 руб. Купить полную версию
Шрифт
Фон

В свою очередь, эхогенность хориальной пластинки будет зависеть от угла сканирования. Наиболее высокой эхогенностью будут отличаться участки, отразившие УЗ волну под углом 90º (Рис. 6).

Таким образом, представляется проблематичным использование характеристик состояния хориальной пластинки с целью объективной оценки изменения структуры плаценты.


а


б

Рис. 6. Беременность 30 нед. Хориальная пластинка части плаценты, расположенной по передней стенке матки, при прямом (а) и косом (б) углах сканирования.

2. Ткань плаценты.

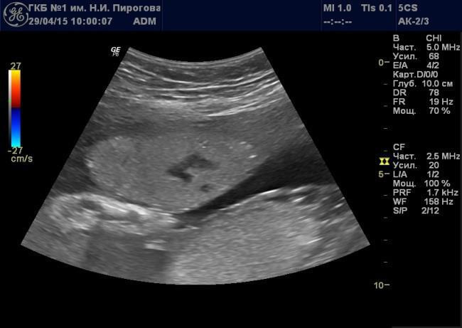
Исследование ткани плаценты по сути предполагает оценку состояния ее основного объема, представленного ворсинчатым деревом (включающим в себя сосуды плода) и МВП (Рис. 2). Макроскопически при серошкальном УЗ исследовании может быть отмечена однородность или неоднородность плацентарной ткани. В свою очередь, неоднородность плаценты может быть обусловлена наличием различных по степени эхогенности зон ан-, гипо-, высокоэхогенных; а также гиперэхогенными включениями со средней, низкой и резко сниженной звукопроводимостью.

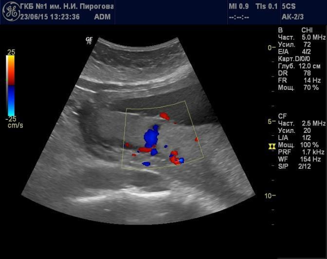
Выявляемые при серошкальном исследовании плаценты ан- или гипоэхогенные зоны чаще всего являются эхографическими срезами участков расширения ее МВП (Рис. 7) и значительно реже сосудов плода (Рис. 8). Расширение МВП может быть связано как с поступлением материнской артериальной крови, и отражать одно из состояний артериального капиллярного русла маточно-плацентарного кровотока (Рис. 9), так и с оттоком в материнское русло венозной крови (Рис. 10). При этом направление тока крови может быть установлено при цветовом допплеровском картировании (ЦДК). Следует иметь в виду, что венозное звено маточно-плацентарного кровообращения состоит из двух функциональных частей: венозных коллекторов плацентарного ложа возле разделительных септ и краевых синусов [10], которые также могут быть расширены (Рис. 11).


Рис. 7. Беременность 33 нед. Участок расширения межворсинкового пространства.


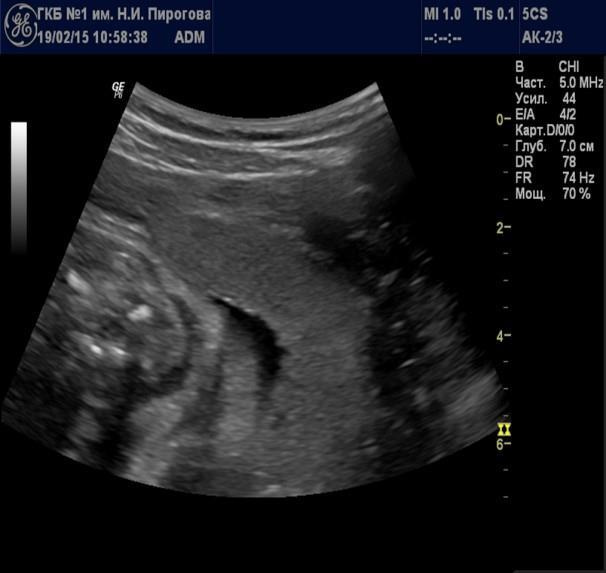
Рис. 8. Беременность 34 нед. Плодный сосуд плаценты.


а


б

Рис. 9. Беременность 24 нед. Расширение межворсинкового пространства, связанное с артериальным притоком, в серошкальном режиме (а) и режиме цветового допплеровского картирования (б).


а


б

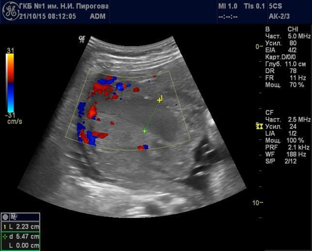
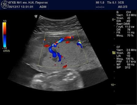
Рис. 10. Беременность 20 нед. Расширение межворсинкового пространства, связанное с венозным оттоком, в серошкальном режиме (а) и режиме цветового допплеровского картирования (б).


Рис. 11. Беременность 23 нед. Краевой венозный синус плаценты.


Выделяют несколько вариантов локализации участков расширения МВП субхориальный, чрездолевой и диффузный [28]. Однако, согласно данным литературы, их выделение практического значения не имеет [29].

Участки расширения МВП могут быть различной формы (округлой, овальной, неправильной) и размеров (диаметром от нескольких миллиметров до нескольких сантиметров (Рис. 12). Их субхориальное расположение может приводить к выбуханию хориальной пластинки в амниотическую полость, характер которого может незначительно меняться в процессе проводимого исследования.

Расширение участков МВП при плацентографическом исследовании во второй половине беременности (после 20 нед.) регистрируется с частотой от 2 до 18%. Их выявление в количестве не менее 3-х и размерами не менее 20 мм трактуется как регистрация «плацентарных озер» [34]. Уместно подчеркнуть, что выраженное расширение МВП плаценты приводит к ее увеличению, о чем можно судить по ее толщине.


Рис. 12. Беременность 34 нед. Расширение межворсинкового пространства, связанное с венозным оттоком в режиме цветового допплеровского картирования (направление низкоскоростного движения крови было установлено визуально в режиме реального времени).


В родившейся плаценте при повторном УЗ сканировании в водной среде участки расширения МВП не определяются, так же как при морфологическом исследовании плаценты [10], что свидетельствует о том, что их регистрация возможна только в условиях функционирующей системы мать-плацента-плод.

В зависимости от размеров участка расширения МВП и скорости движения в нем крови ее течение может быть отмечено визуально при серошкальном режиме исследования. Вероятность визуализации повышается при значительном расширении участки МВП и относительно высокой скорости кровотока в нем (> 6 мм/сек). Упрощает регистрацию движения крови в МВП применение ЦДК. Использование высокочувствительной УЗ аппаратуры позволяет определить в МПВ очень медленный (около 1-5 мм/с) ламинарный поток крови. Не следует забывать, что возможности регистрации тока крови в расширенном МВП зависят и от угла между его направлением и направлением допплеровского «луча». В ряде случаев подтвердить движение крови в МВП можно лишь с помощью режима энергетического допплеровского картирования, как более чувствительного к низким скоростям кровотока, а также менее «уголзависимого» по сравнению с цветовым. Так, на рис. 13 проиллюстрирована возможность регистрации кровотока в расширенном участке МВП, расположенного в центральной части плаценты.

Ваша оценка очень важна

0
Шрифт
Фон

Помогите Вашим друзьям узнать о библиотеке

Скачать книгу

Если нет возможности читать онлайн, скачайте книгу файлом для электронной книжки и читайте офлайн.

fb2.zip txt txt.zip rtf.zip a4.pdf a6.pdf mobi.prc epub ios.epub fb3