Дик Свааб - Наш креативный мозг. Как человек и мир творят друг друг стр 8.

Шрифт
Фон

В мужской линии возникает больше генетических ошибок, чем в женской. Женщины получают все свои яйцеклетки еще до появления на свет; они покоятся в яичниках, и каждый месяц созревает только одна из них. У мужчин сперматозоиды образуются беспрерывно из стволовых клеток. Между яйцеклеткой, из которой возникла женщина, и яйцеклеткой, которую она передает, происходит приблизительно 20 делений клетки, тогда как у мужчины под тридцать между сперматозоидом, который его сотворил, и сперматозоидами, которые он производит, происходит приблизительно 300 делений клетки. Поэтому со стороны отца имеется большая возможность мутаций. Разумеется, пожилых мужчин это касается в большей степени, чем молодых. Дети пожилых отцов больше подвержены опасности психических заболеваний. Проблемы фертильности у родителей троекратно повышают опасность психических болезней ребенка. Психические болезни и проблемы фертильности имеют, таким образом, общий генетический фон (ил. 4)

3. Внутриматочное развитие

После зачатия оплодотворенная яйцеклетка развивается в матке, превращаясь в ребенка. До сих пор не прекращается дискуссия о том, определяется ли то или иное из наших свойств задатками или средою. Только задатки выражаются, например, в интуитивном поведении новорождённого младенца. Если бы мы не могли интуитивно находить сосок материнской груди и сосать, нас вообще не было бы на свете.

Интуиция также играет роль при возникновении чувства страха. Для нас намного выгоднее испытывать страх перед змеей, чем пугаться цветка. У обезьян, которые никогда не видели змею, были найдены клетки мозга, которые резко «вспыхивают»  то есть становятся электрически активными и обмениваются информацией с другими клетками мозга,  если обезьяна встречает змею. Этот страх усвоен приматами в процессе эволюции. И мы получили многое в своем поведении, включая кирпичики для наших моральных норм (см. главу IV.7), генетически в ходе эволюционного развития.

Решающим является то, что наш мозг с самого начала развивается главным образом благодаря интенсивному взаимодействию между задатками и средой. В период развития мозга наш генетический фон интенсивно взаимодействует с внешней средой. Окружение нервной клетки формируется миллиардами нервных клеток вокруг, химическими веществами, выделяемыми этими клетками, гормонами плода, гормонами и питательными веществами матери и химическими веществами, которые проникают из внешней среды и попадают в плаценту. Наше индустриальное общество оказывает постоянное влияние на плод в матке, например через химикалии в тонкой пыли, порожденной автомобилями и промышленностью, которая проникает в плаценту, влияет на развитие мозга и тем самым увеличивает риск аутизма. Информация, приходящая через органы чувств, также влияет на развитие мозга в течение всего периода внутриутробного развития. Следы чеснока в околоплодных водах позднее скажутся на вкусе ребенка; музыка, которую слышит ребенок во второй половине беременности, он будет помнить еще в течение месяцев после появления на свет.

Наличие генных взаимодействий с внешней средой явствует, например, из наблюдений, что чувствительность мозга ребенка к факторам окружающей среды находится в зависимости от генетического фона. Если женщина курит во время беременности, а в генетическом фоне ребенка имеется два варианта дофаминовых рецепторов, то опасность синдрома дефицита внимания и гиперактивности (ADHD) возрастает в 9 раз в сравнении с отсутствием этих генетических вариантов.


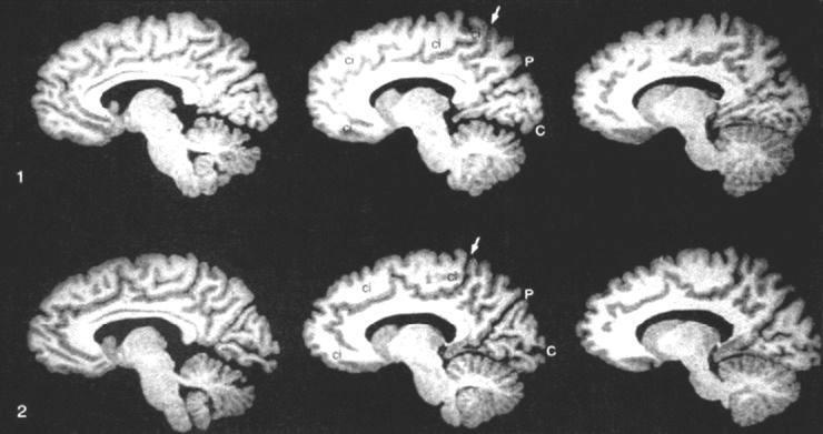
MRI-скан мозга однояйцевых близнецов. Между P и стрелкой у ребенка в верхнем ряду 3 мозговые извилины, а у ребенка в нижнем ряду 4 (Steinmetz H., Herzog A., Huang Y., Hacklander T. Discordant Brain-Surface Anatomy in Monozygotic Twins // The New England Journal of Medicine. 1994.  331. P. 951952). Паттерн мозговых извилин и борозд формируется главным образом в течение трех последних месяцев беременности. Таким образом, причина этих негенетических различий должна возникать именно в этот период.


Дородовой стресс беременной женщины позднее может привести у ребенка к проблемам в поведении и темпераменте, аутизму, ADHD, депрессии и страхам. Стрессовые события во время беременности, такие как болезни, финансовые трудности, насилие со стороны партнера, могут иметь длительное влияние на развитие мозга ребенка. В возрасте 7 лет детей иследовали при помощи диффузионной тензорной магнитно-резонансной томографии (MRI-DTI), методики, позволяющей видеть сканы соединений между структурами мозга. Стрессовые события во время беременности коррелировали у детей со структурными изменениями в связях между миндалевидным телом и префронтальной корой. Из-за этого дети впоследствии будут иначе реагировать на стрессы и страх.

Ваша оценка очень важна

0
Шрифт
Фон

Помогите Вашим друзьям узнать о библиотеке

Скачать книгу

Если нет возможности читать онлайн, скачайте книгу файлом для электронной книжки и читайте офлайн.

fb2.zip txt txt.zip rtf.zip a4.pdf a6.pdf mobi.prc epub ios.epub fb3