Паулина Лопатнюк - Патологи. Тайная жизнь «серых кардиналов» медицины: как под микроскопом и на секционном столе ставят диагнозы и что порой находят внутри изъятых органов стр 6.

Шрифт
Фон

Основная задача патоморфологии это работа со злокачественными опухолями. Увы.


Изменения в других органах могут иметь свои специфические тонкости вот рак почки, например любит проникать в почечную вену и странствовать по ней в нижнюю полую вену (а в более экстремальных случаях даже до правого желудочка сердца и выше до выходящего из сердца легочного ствола), и, следовательно, препараты, содержащие опухоли почек, требуют уделить особое внимание почечным сосудам. Оценка того, не ползет ли опухоль в сосуды, здесь будет не менее важна, чем измерение самого поражения. Подобные «привычки» есть и у рака печени, который может вылезать из своего материнского органа и по венам печени подниматься в конечном итоге до сердца. Это явление реже встречается в других типах опухолей, хотя новообразования бывают весьма непредсказуемыми и не угадаешь ни день, ни час каждое может иногда удивить необычным поведением. При раке щитовидной железы, например, подобных излишеств мы не ожидаем, и все же в литературе приводится случай, когда фолликулярному раку щитовидной железы (второй по распространенности после папиллярного рака щитовидной железы) удалось пустить свое щупальце в левую внутреннюю яремную вену и следовать по ее пути через брахиоцефальную артерию в верхнюю полую вену.

Однако не всегда найденные изменения одинаково впечатляют. В опухолях почек особенно важно оценить объем некротизирующих тканей, в опухолях яичек поиск поперечных сечений поражения даже с незначительными кровоизлияниями, где под микроскопом патоморфолог будет искать очаги более агрессивной разновидности опухоли, хориокарциномы, развивающейся иногда на фоне менее опасных изменений. Что-то незаметное, но очень изменяющее прогноз. При раке тела матки одним из основных вопросов будет: поражение проникло до середины толщины стенки органа или глубже. При меланоме является ли она язвенной или нет. На любой вкус и цвет. Сколько изменений, столько следующих друг за другом «мелочей», которые необходимо учесть. И каждая из них должна быть отражена в загруженных для дальнейшего изучения образцах. Нет, препарирование далеко не проще пареной репы, хотя кулинарные метафоры в патоморфологии хороши.

Розовые и фиолетовые мазки, или Древо познания

Деревья в человеческих верованиях и традициях часто являются очень важным элементом. Одни считают дерево осью вселенной, arbor et axis mundi, другие опорой небес и связью между миром людей и миром божеств, третьи источником жизни или бессмертия, бывает, что дерево воспринимают связанным с познанием, мудростью. На дереве висел Один, чтобы познать суть рун, под деревом Бодхи Будда достиг просветления, балка-прорицательница на Ясонском корабле «Арго» произошла из посвященного Зевсу додонского вещего дуба. В ирландских историях орехи лещины, дерева мудрости, проглоченные лососем, дали ему все знания мира, которые этот несчастный «лосось знаний» передал дальше, когда его неосмотрительно испробовал Фион Мак Кумхилл, более поздний легендарный воин из финикийского цикла. Нельзя, впрочем, не назвать в этом ряду и библейское древо познания древо познания добра и зла.


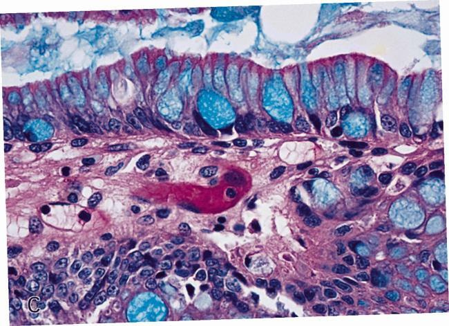
Пищевод Барретта специальное окрашивание, выделение синим цветом типичных для поражения кишечника заполненных слизью бокаловидных клеток.


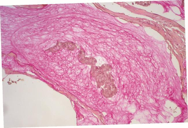
Приданию интенсивной розовости содержащейся в препаратах слизи при окрашивании муцикармином мы обязаны некоторым клопам, питающимся кактусами (здесь как раз представлены островки клеток слизистого рака молочной железы, плавающие среди слизистых озер).


Древом, которому гистология и гистопатология в искусстве считывания здоровья и болезни с микроскопических изображений обязаны своему современному состоянию, несомненно, является кампешевое дерево, Гематоксилум кампехианум (Haematoxylum campechianum).

Европа обнаружила древесину кампешевого дерева и ее замечательные свойства в начале XVI века. Испанцы, заинтригованные живым цветом нарядов Майя, жителей районов, составляющих нынешний мексиканский штат Кампече, скоро добрались до источника красителя, добываемого, как оказалось, из усыпанных желтыми цветами колючих деревьев. Изготовленный из привезенной в Испанию древесины пигмент быстро был взят на вооружение местной промышленностью как конкуренция для индиго. Но не только ею. Интерес к новому ценному ресурсу несмотря на усилия испанцев по сохранению монополии способствовал началу оживленной пиратской деятельности, созданию в Америке колоний, основанных на грабеже,  со временем Англия захватила плантации и переработку кампешевого дерева на Ямайке. Это произошло в XVII веке.

Ваша оценка очень важна

0
Шрифт
Фон

Помогите Вашим друзьям узнать о библиотеке

Скачать книгу

Если нет возможности читать онлайн, скачайте книгу файлом для электронной книжки и читайте офлайн.

fb2.zip txt txt.zip rtf.zip a4.pdf a6.pdf mobi.prc epub ios.epub fb3