Алексей Яковлев - Нейрореабилитация. Часть 2

25 минут
читать Нейрореабилитация. Часть 2
Алексей Яковлев
Можно купить 480Р
Шрифт
Фон

Нейрореабилитация

Часть 2


Алексей Яковлев

© Алексей Яковлев, 2019


ЛЕЧЕБНАЯ ФИЗКУЛЬТУРА ПРИ ОСТРОМ НАРУШЕНИИ МОЗГОВОГО КРОВООБРАЩЕНИЯ

В Российской Федерации ежегодно регистрируется около 500550 тыс. случаев острого нарушения мозгового кровообращения (ОНМК). ОНМК лидирующая причина инвалидизации населения. Летальность в остром периоде достигает 35%, к концу первого года 4750%, при повторных ОНМК 35%. Смерть и инвалидизация при ОНМК достигает 85%. Каждый третий пациент после ОНМК нуждается в посторонней помощи, 20% не могут самостоятельно ходить. Различают два клинических вида ОНМК: геморрагический (14%) и ишемический (9699%). Геморрагический инсульт обусловлен кровоизлиянием в мозг, возникает при гипертонической болезни, атеросклерозе сосудов головного мозга. Кровоизлияние сопровождается быстро развивающимися общемозговыми явлениями и симптомами очагового поражения мозга.

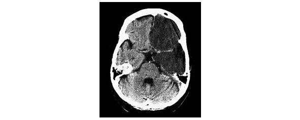
Ишемический инсульт обусловлен нарушением проходимости мозговых сосудов вследствие закупорки их атеросклеротической бляшкой, эмболом, тромбом или в результате спазма сосудов мозга различной локализации (рис. 1).

Такой инсульт может возникнуть при атеросклерозе сосудов мозга, по типу кардиогенной тромбоэмболии, понижении АД и по другим причинам.


Рисунок 1. КТ-картина ОНМК по ишемическому типу в бассейне левой каротидной артерии


Среди гетерогенных подтипов ишемического инсульта выделяют: атеротромботический вариант, кардиоэмболический, лакунарный, гемодинамический, гемореологический (рис. 2).

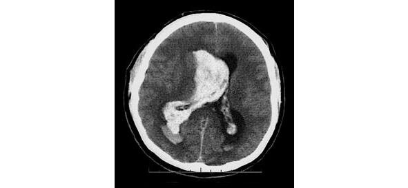
Среди геморрагических вариантов ОНМК выделяют: паренхиматозное кровоизлияние, вентрикулярное кровоизлияние, паренхиматозно-вентрикулярное кровоизлияние (рис. 3), а также субарахноидальное кровоизлияние.

В процессе комплексной медицинской реабилитации пациентов с инсультом выделяют пять основных периодов:

 острейший (0 ч  35 дней);

 острый (35 дней  21 день);

 ранний восстановительный (21 день  6 мес);

 поздний восстановительный (6 мес  2 года);

 стойкие остаточные явления (2 года и более).


Рисунок 2. Гетерогенные подтипы ишемического инсульта


В настоящее время общие принципы лечебной физкультуры, как и всего процесса медицинской реабилитации в отношении пациентов с ОНМК строятся на ранней активизации. Противопоказанием к активизации при ОНМК является тяжелое состояние пациента, обусловленное выраженным отеком мозга. Темп расширения режима и интенсивность занятий могут быть ограничены у больных с: сердечно-легочной недостаточностью, снижением сердечного выброса, наличием мерцательной аритмии. При геморрагическом инсульте вопрос о сроках расширения двигательного режима решается строго индивидуально. У пациентов с ОНМК раннее проведение реабилитационных мероприятий может проводиться с первых суток развития заболевания, при стабилизации состояния в ходе проведения неотложных мероприятий. Лечебная физкультура в острейшем периоде инсульта может включать целый комплекс методов  от лечения положением до аппаратной активно-пассивной механотерапии проводимой под контролем гемодинамических показателей.


Рисунок 3. КТ-картина паренхиматозно-вентрикулярного кровоизлияния


Применение при отсутствии противопоказаний программ ранней реабилитации (с 1-х суток заболевания) с соблюдением принципа междисциплинарного взаимодействия у пациентов с ОНМК в острейшем периоде будет направлено в первую очередь на профилактику осложнений гиподинамии. К наиболее частым осложнениям гиподинамии следует относить: застойную пневмонию, инфекции мочевыводящих путей, образование пролежней, контрактуру мышц, тромбоэмболию и др. В первые дни инсульта основу лечебной физкультуры составляют лечение положением и активно-пассивная гимнастика. Лечение положением необходимо для предупреждения развития спастических контрактур или устранения, уменьшения уже имеющихся.

Лечение положением

При лечении положением создают кладку больного в постели так, чтобы мышцы, склонные к спастическим контрактурам были по возможности растянуты, а точки прикрепления их антагонистов сближены. Фиксация или укладка конечностей с целью профилактики или коррекции не должна быть продолжительной. Это связано с тем, что сближая на длительное время точки прикрепления мышц-антагонистов, можно вызвать чрезмерное повышение их тонуса. Поэтому положение конечности следует в течение дня менять. Длительность лечения положением устанавливают индивидуально, руководствуясь динамикой состояния и ощущениями пациента. К главным принципам лечения положением относится: максимально возможная симметричность  выравнивание ключевых точек, поддержка всех сегментов тела, бережное отношение к плечу паретичной руки, «золотое» правило: пациент лежит на любом боку, но не на спине.

Ваша оценка очень важна

0
Шрифт
Фон

Помогите Вашим друзьям узнать о библиотеке

Скачать книгу

Если нет возможности читать онлайн, скачайте книгу файлом для электронной книжки и читайте офлайн.

fb2.zip txt txt.zip rtf.zip a4.pdf a6.pdf mobi.prc epub ios.epub fb3

Популярные книги автора