Геннадий Иванович Ничипорук - Анатомия здорового и нездорового образа жизни атлас стр 9.

Шрифт
Фон

Чешуя очень тонкая компактная костная пластинка, которая при ударах в височную область легко ломается, что приводит к травмированию сосудов твердой мозговой оболочки и головного мозга. Поэтому удар в височную область нередко сопровождается большой по объему внутричерепной гематомой и приводит к смерти. Такая же тонкая барабанная часть, которая прикрывает наружный слуховой проход. Обратите внимание, что она полностью развивается только к 10 15 годам. У ребенка первых лет жизни она не развита, наружный слуховой проход короче, открыт кнаружи, поэтому у детей чаще бывают отиты и даже менингиты.


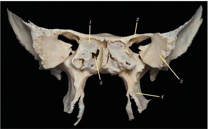
Рис. 15.Клиновидная кость. Вид спереди. Натуральный анатомический препарат:

1 тело; 2  малое крыло; 3  большое крыло; 4  крыловидный отросток; 5  клиновидная пазуха


Сосцевидная часть, или сосцевидный отросток, окончательно формируется после рождения за счет тяги грудино-ключично-сосцевидной мышцы, прикрепляющейся к нему. Этот отросток можно прощупать у себя позади ушной раковины.

Особое значение в височной кости имеет каменистая часть, которую из-за особой геометрической формы еще называют пирамидой. В ней находится среднее и внутреннее ухо орган слуха и равновесия. Через нее проходят многочисленные каналы и отверстия для сосудов и нервов, например внутренняя сонная артерия. Данные структуры особенно хорошо видны на распиле височной кости: например, сонный канал, лабиринт, ячейки сосцевидного отростка. Выгравированный лабиринт представляет собой филигранную работу (рис. 17).


Рис. 16.Височная кость. Вид изнутри. Натуральный анатомический препарат:

1 чешуя; 2  сосцевидный отросток; 3  шиловидный отросток; 4  внутренний слуховой проход; 5  каменистая часть


В составе пирамиды он представлен улиткой (орган слуха), преддверием и тремя полукружными каналами (орган равновесия). При воспалительных процессах и травмах височной кости могут нарушаться функции органа слуха и равновесия, черепных нервов или появляться массивные кровотечения.

Решетчатая кость ключевая кость мозгового черепа, которая располагается между глазничными частями лобной кости и малыми крыльями клиновидной кости. Она построена из тонких костных пластинок и содержит многочисленные полости решетчатые ячейки. Решетчатая кость напоминает по форме «нахохлившегося цыпленка». В ней различают решетчатую и перпендикулярную пластинки и свисающие лабиринты. Решетчатая пластинка одной поверхностью обращена в переднюю черепную ямку, перпендикулярная пластинка и часть лабиринтов (верхняя и средняя носовые раковины) в полость носа (рис. 18), глазничные пластинки лабиринтов в глазницы.


Рис. 17.Височная кость с выгравированным лабиринтом (указан стрелкой). Вид сверху. Натуральный анатомический препарат


В лабиринтах данной кости много полостей (ячеек). При воспалительных процессах слизистой оболочки этих полостей (этмоидитах) имеется опасность проникновения инфекции из полости носа в полость черепа и глазницу.

Кости лицевого черепа это преимущественно тонкие и легко повреждаемые кости. Как уже отмечалось, лицевой череп это костный остов для глазничного органокомплекса, начальных отделов пищеварительной и дыхательной систем, основа для расположения зубов верхней и нижней челюстей. Необходимо подчеркнуть, что лицевой череп обеспечивает индивидуальность черт каждого человека и красоту его лица.

Кости лицевого черепа можно классифицировать на парные и непарные. Непарными являются сошник, подъязычная кость и нижняя челюсть.

Сошник  небольшая плоская кость, которая находится в составе перегородки полости носа (см. рис. 12).

Подъязычная кость расположена в области шеи. Она состоит из тела и двух пар рогов. К ней фиксированы язык и гортань, прикрепляется большое количество мышц шеи. При переломе подъязычной кости и хрящей гортани включаются рефлекторные механизмы и быстро наступает смерть пострадавшего от удушья.


Рис. 18.Сагиттальный распил черепа человека. Натуральный анатомический препарат:

Ваша оценка очень важна

0
Шрифт
Фон

Помогите Вашим друзьям узнать о библиотеке

Скачать книгу

Если нет возможности читать онлайн, скачайте книгу файлом для электронной книжки и читайте офлайн.

fb2.zip txt txt.zip rtf.zip a4.pdf a6.pdf mobi.prc epub ios.epub fb3