Геннадий Иванович Ничипорук - Анатомия здорового и нездорового образа жизни атлас стр 11.

Шрифт
Фон

Самыми миниатюрными костями, относящимися по развитию к лицевому черепу, являются слуховые косточки (молоточек, наковальня и стремечко). Они находятся в барабанной полости височной кости, обеспечивая передачу звуковых сигналов с барабанной перепонки на внутреннее ухо. Обратите внимание на действительное сходство данных косточек с молоточком, наковальней и стремечком. Поистине «ювелирная работа» природы! Но к этим косточкам еще прикрепляются мышцы и связки. Стремечко своим основанием (его размеры составляют 1 × 2 мм) точно соответствует овальному окну внутреннего уха. В том случае, когда слуховые косточки срастаются между собой, а стремечко прирастает к лабиринту, возникает отосклероз. Передача звуковых воздействий по слуховым косточкам нарушается, и человек теряет слух.

Таким образом, череп человека это уникальная, сложная по форме и строению конструкция скелета головы, выполняющая в организме целый ряд невосполнимых функций.


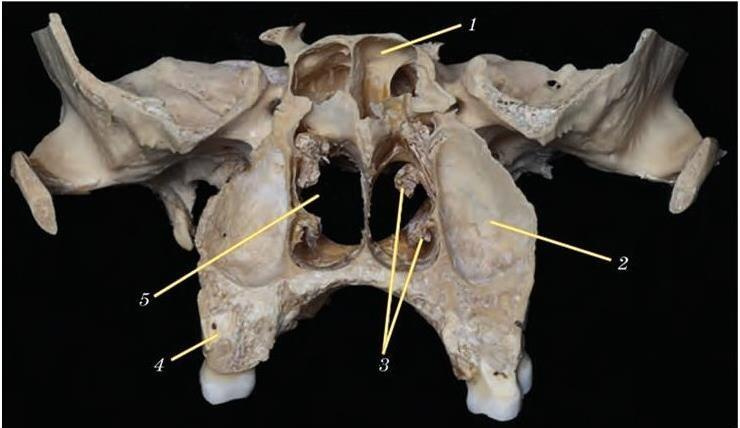
Рис. 22.Распил черепа. Фрагмент. Вид сзади (со стороны хоан):

1 клиновидная пазуха; 2  верхнечелюстная пазуха; 3  средняя и нижняя носовые раковины; 4  верхняя челюсть (альвеолярный отросток); 5  полость носа


Скелет верхней конечности

У человека верхняя конечность (рука) это часть тела, предназначенная для восприятия тактильных раздражений и выполнения разнообразных движений. О роли руки в жизни человека очень образно написал Ф. Лукьянов слушатель Военно-медицинской академии:

Рука человека в ней нежность и сила,
Уют и надежда, тепло и простор.
Я помню, как мамины руки носили,
Как папины руки держали топор,
Как руки братишки меня обнимали,
Как теплой рукой меня грела любовь

По определению Ф. Энгельса, «рука это орган трудовой деятельности». Благодаря прямохождению у человека произошло высвобождение верхней конечности, она утратила опорно-двигательную функцию и приобрела способность выполнять самые тонкие и точные движения. Поэтому строение скелета верхней конечности во многом определяется ее функцией и зависит от пола, возраста и даже профессии.


Рис. 23.Кости левой верхней конечности. Норма. Вид спереди. Натуральный анатомический препарат:

1 ключица; 2  лопатка; 3  плечевая кость; 4  локтевая кость; 5 лучевая кость; 6  кости кисти


На рис. 23 хорошо видны кости пояса, к которым относятся лопатка и ключица, и кости свободного отдела плечевая, кости предплечья и кости кисти. Обратите внимание, что в дистальных отделах конечности количество костей увеличивается.

Лопатка является плоской костью, состоящей преимущественно из компактного вещества. В области латерального угла лопатки имеется суставная впадина для сочленения с плечевой костью. Сверху над ней располагаются два отростка: клювовидный и акромиальный. На дорсальной поверхности находится ость лопатки.

Ключица является трубчатой костью. Одним концом она соединяется с лопаткой (акромиально-ключичным суставом), а другим концом с грудиной (грудино-ключичным суставом). Благодаря ключице у человека лопатка смещается с боковой на дорсальную поверхность, свободная верхняя конечность отводится латерально и разворачивается ладонью кпереди. Такое положение носит название «брахиация». Оно обеспечивает максимальную свободу движений для верхней конечности. Плечевой пояс служит не только для прикрепления свободной верхней конечности, но также значительно увеличивает ее подвижность. При переломе ключицы свободная верхняя конечность смещается кпереди и движения ее резко ограничиваются. В связи с этим необходима достаточная иммобилизация (обездвиживание) в месте перелома. В современных условиях одним из методов оперативного лечения является наложение специальной металлической пластины для фиксации отломков и создания оптимальных условий для их срастания.

Плечевая кость является длинной трубчатой костью. У нее выделяют верхний (проксимальный) эпифиз, тело (диафиз) и нижний (дистальный) эпифиз. На проксимальном эпифизе расположена головка плечевой кости. Проксимальный эпифиз постепенно суживается, и у места перехода в тело образуется хирургическая шейка место наиболее частых переломов плечевой кости.

Ваша оценка очень важна

0
Шрифт
Фон

Помогите Вашим друзьям узнать о библиотеке

Скачать книгу

Если нет возможности читать онлайн, скачайте книгу файлом для электронной книжки и читайте офлайн.

fb2.zip txt txt.zip rtf.zip a4.pdf a6.pdf mobi.prc epub ios.epub fb3