Аркадий Львович Верткин - Фибрилляция предсердий стр 4.

Книгу можно купить на ЛитРес.
Всего за 239 руб. Купить полную версию
Шрифт
Фон

Различные типы кардиомиопатий, особенно алкогольного происхождения, также часто ассоциируются с ФП, в частности среди молодых пациентов. Сахарный диабет и ожирение сопровождают течение ФП в 20 и 25 % случаев соответственно [61]. Также следует указать на патогенетическую взаимосвязь возникновения ФП у пациентов с ХОБЛ и синдромом ночного апноэ. У 1015 % пациентов с ФП также выявляется хроническая болезнь почек, что зачастую усугубляет течение болезни и ограничивает применение антитромботических препаратов.

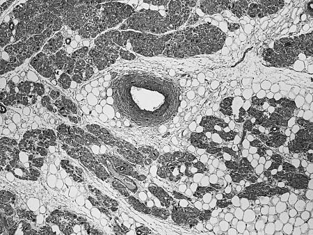
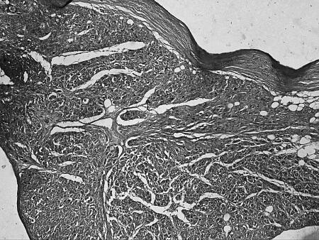
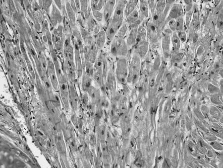
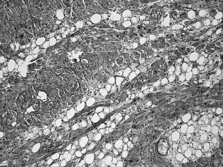
Что же общего среди всех этих состояний и что определяет их патогенетическую взаимосвязь с ФП? Очевиден механизм нарушения электрических процессов в результате ремоделирования миокарда. Данные патологоанатомических исследований подтверждают это. Так, при гистологическом исследовании ткани предсердий умерших пациентов с ФП часто выявлялись следующие изменения (см. рис. 5):

дистрофические изменения кардиомиоцитов, гипертрофия кардиомиоцитов (см. рис. 5 а б);

очаговый и диффузный фиброз, эндомиокардиальный фиброз, крупные разрастания зрелой волокнистой соединительной ткани по ходу межмышечных пространств и в периваскулярных пространствах (см. рис. 5 в г);

липоматоз, склероз и гиалиноз стенок артерий (см. рис. 5 д).


а)


б)


в)


г)


д)

Рисунок 5.Гистологические изменения предсердий при ФП


ФП является предиктором смерти пожилых пациентов и инвалидизации молодых больных [6]. ФП имеет место у каждого третьего пациента с ХСН [37], у каждого четвертого с ИИ, у каждого пятого с ТЭЛА и у каждого десятого, перенесшего инфаркт миокарда [11].

Фибрилляция предсердий сопряжена с рядом неблагоприятных исходов: дисфункция левого желудочка, смерть, инсульт и другие тромботические осложнения, более частые госпитализации, ухудшение качества жизни. Даже при отсутствии других известных факторов риска наличие ФП увеличивает риск смерти вдвое [7]. Каждый пятый пациент, перенесший инсульт, имеет ФП, а ожидаемый риск развития ИИ у пациентов с ФП, не имеющих других факторов риска, составляет 5 % в год [8].

Согласно данным ВОЗ, инсульт случается ежегодно у 15 миллионов людей и является причиной смерти 10 % населения в мире, что составляет приблизительно 5,7 миллиона человек. Около 50 % всех кардиоэмболических инсультов ассоциировано с неклапанной ФП [38]. Выходит, что неправильная или несвоевременная профилактика тромботических осложнений ФП причина половины всех инсультов? И как тогда ответить на наш главный вопрос, что ФП это незначимая проблема?

Подтверждением этих данных являются собственные результаты проведенных аутопсий в 2011 году среди всех пациентов, умерших от инсульта (n=198) в многопрофильном стационаре города Москвы. При этом оказалось, что 43 % имели ФП неклапанного происхождения. Причем повторный инсульт встречался достоверно чаще в группе пациентов с ФП, что увеличивает значимость не только первичной, но и вторичной профилактики инсульта у данной категории пациентов (Верткин А.Л. и соавт., 2012 год). Более того, известно, что половина пациентов с инсультом в исходе ФП умирают в течение первого года после перенесенного нарушения мозгового кровообращения [39]. Кроме того, по данным Фрамингемского исследования, инсульт, ассоциированный с ФП, приводит к более тяжелой инвалидизации больных, причем как в остром периоде, так и в течение последующих 12 месяцев (см. рис. 6) [39, 5].


Рисунок 6.Исходы у пациентов с инсультом


Фибрилляция предсердий ассоциирована со многими неблагоприятными исходами, такими как смерть, инсульт и другие тромботические осложнения, повторные госпитализации и ухудшение качества жизни (см. табл. 1) [1].


Таблица 1

Исходы пациентов с фибрилляцией предсердий


Итак, частота ФП увеличивается с возрастом и по мере прогрессирования атеросклероза, АГ, СД. ФП имеет место у 0,5 % больных в возрасте до 40 лет, у 25 %  40 до 70 лет и у 50 %  старше 70 лет. ФП имеет место у каждого третьего пациента с ХСН, у каждого четвертого, перенесшего ИИ, у каждого пятого с ТЭЛА и у каждого десятого с ПИКС.

Интрига поликлиники-2014: известные рекомендации по ведению пациентов с фибрилляцией предсердий и реальная практика

КОНЕЦ ОЗНАКОМИТЕЛЬНОГО ОТРЫВКА

Ваша оценка очень важна

0
Шрифт
Фон

Помогите Вашим друзьям узнать о библиотеке

Скачать книгу

Если нет возможности читать онлайн, скачайте книгу файлом для электронной книжки и читайте офлайн.

fb2.zip txt txt.zip rtf.zip a4.pdf a6.pdf mobi.prc epub ios.epub