
Рис. 98. Ультразвуковое исследование. Рак головки ПЖ. На снимке видна гипоэхогенная бугристая раковая опухоль 5x4 см (1)
Дифференциальная диагностика рака, других опухолей ПЖ и псевдотуморозного хронического панкреатита (ХП) по данным КТ и УЗИ довольно сложна и часто невозможна. Наличие кист в области опухолевого образования, панкреатическая гипертензия встречаются в обоих случаях и не являются дифференциально-диагностическими признаками. Кальцинаты в проекции опухоли при РПЖ встречаются нечасто. В 95 % кальциноз свидетельствует о ХП. Для выявления опухолей ПЖ КТ предпочтительнее, чем УЗИ, так как дает больше информации о распространении опухоли на смежные анатомические структуры и его результаты не столь зависимы от опыта врача, выполняющего исследование. УЗИ и КТ – взаимодополняющие исследования и их следует применять вместе. В комбинации это позволяет повысить точность диагностики ракового поражения ПЖ до 90 %. 
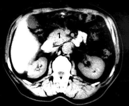
Рис. 99. Компьютерная томография. Рак головки ПЖ. На снимке видна гиподенсная бугристая опухоль головки ПЖ 4x5 см (1)
Недавно появившаяся новая концепция сканирования, названная спиральной компьютерной томографией (СКТ), значительно увеличила возможности диагностики заболеваний ПЖ. В процессе данного исследования происходит спиралеобразное движение веерообразного луча через тело пациента, так как одновременно с движением электронно-лучевой трубки происходит движение стола. Большая анатомическая область может быть просканирована за один период задержки дыхания пациентом, причем получаются тонкие соприкасающиеся "срезы" толщиной до 3 мм. СКТ обеспечивает создание высококачественных трехмерных реконструкций органов и сосудов вместе с опухолью, что особенно важно для предоперационной оценки резектабельности. При этом исследовании можно выявить образования более 4 мм.
Локальная инвазия близлежащих висцеральных сосудов затрудняет и нередко делает невозможным выполнение резекции у большого числа больных РПЖ и поэтому дооперационной диагностике опухолевого прорастания сосудов, в особенности воротной вены, придается большое значение. В комбинации с внутривенным болюсным контрастированием и субтракционной обработкой данных, можно реконструировать СКТ-ангиограммы, воспроизводящие проекционные трехмерные изображения сосудистого русла и определить резектабельность опухоли с точностью 56–78 %. Считается, что результаты СКТ сопоставимы с таковыми при совместном применении КТ и ангиографии (рис. 100).
При проведении сравнительной оценки разных диагностических методов (КТ, УЗИ, МРТ, ангиография) в ряде исследований выявлено, что по своим диагностическим возможностям МРТ не превосходит другие методы исследования.

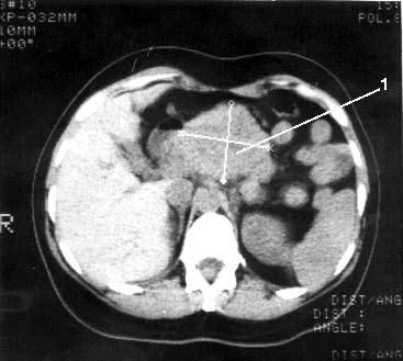
Рис. 100. Спиральная компьютерная томография с портографией. Рак головки ПЖ. На верхнем левом снимке видна гиподенсная бугристая опухоль головки ПЖ 4x5 см (1). На остальных снимках контрастирована воротная вена (ВВ). Отмечается ее прорастание в области опухоли
Магнитно-резонансная томография (МРТ), по данным большинства исследователей, не имеет существенных преимуществ перед УЗИ и КТ в диагностике заболеваний поджелудочной железы. Кроме того, МРТ отличается более высокой стоимостью.
В последние годы появился новый неинвазивный метод – магнитно-резонансная холангиопанкреатография который позволяет визуализировать желчные и панкреатические протоки без инвазивных вмешательств и введения контрастных веществ. Это исследование осуществимо у всех больных, не дает осложнений и позволяет получить такую же информацию, как и при одновременном применении КТ, ангиографии (АГ) и эндоскопическая ретроградная холангиопанкеатография (ЭРХПГ) (рис. 101. а, б).


Рис. 101. Магнитнорезонансная холангиопанкреатикография. Рак головки ПЖ. А – отмечается дефект наполнения (2) в панкреатической части холедоха (1) на протяжении 1 см. Опухоль диаметром 1,5 см была выявлена только интраоперационно. Б – отмечается дефект (3) в месте слияния общего желчного (1) и панкреатического (2) протоков. Имеется супрастенотическое расширение протоков. Опухоль диаметром 3 см была выявлена при УЗИ, КТ и интраоперационно
Достаточно достоверные данные о местном распространении опухоли, инвазии сосудов, регионарных метастазах могут быть получены при использовании эндоультрасонографии (ЭУСГ) – нового метода диагностики, эффективность которого широко обсуждается в литературе. При этом исследовании датчик можно подвести непосредственно к опухоли (лапароскопически, через желудок и ДПК, интрадуктально через БДС, интрапортально), что позволяет выявить образования менее 1 см, а при интрадуктальном УЗИ – опухоли до 2 мм, увеличенные лимфатические узлы, инвазию крупных сосудов, выполнить игловую биопсию этих образований. Недостатком ЭУСГ является большая зависимость результатов исследований от опыта врача, выполняющего исследование, что существенно ограничивает его применение и мешает широкому распространению метода (рис. 102).
В последнее время значительную роль в решении вопросов диагностики и определении стадии РПЖ играет позитронная эмиссионная томография (ПЭТ). ПЭТ позволяет осуществлять количественную оценку концентрации радионуклидов в опухоли и пораженных ею лимфатических узлах на разных стадиях заболевания.


Рис. 102. Эндоскопическое УЗИ. 1. Опухоль головки ПЖ. 2. Расширенный терминальный отдел общего желчного протока
С этой целью для ПЭТ применяются радиофармацевтические препараты, меченные циклотронными радионуклидами. Возможности ПЭТ при обнаружении опухолей менее 2 см, метастазов печени, метастатических лимфатических узлов превышают таковые при КТ. Большинство исследователей применяют ПЭТ при дифференциальной диагностике злокачественных и доброкачественных образований ПЖ. В литературе имеются сведения и о возможности определения при ПЭТ степени злокачественности опухоли в зависимости от интенсивности накопления препарата. Однако для оценки резектабельности ПЭТ не может заменить КТ (рис. 103).
Кроме того, ПЭТ не позволяет поставить топический диагноз, поэтому его следует применять в сочетании с КТ. Основным недостатком исследования является необходимость использования дорогостоящей аппаратуры для производства радионуклидов, которые имеют короткий период полураспада (от нескольких минут до двух часов), что требует близкого расположения циклотрона к лаборатории (рис. 104).
К сожалению, большинство из перечисленных методов исследования (кроме ПЭТ) не позволяют с абсолютной точностью установить диагноз РПЖ. При них выявляется лишь объемное образование и/или косвенные признаки его наличия, а какова природа "опухоли" – неизвестно. Только при ПЭТ можно установить злокачественный характер опухоли с точностью 60–90 % (такой разброс цифр объясняется пока еще недостаточным опытом применения этого исследования). Кроме того, ни один из существующих методов исследования не позволяет точно установить распространение раковой опухоли ПЖ на окружающие органы и структуры (в первую очередь сосуды), что важно при предоперационной оценке стадии заболевания для определения лечебной тактики (операция, лучевая терапия, химиотерапия или их сочетание).

Рис. 103. Компьютерная томография.
Рак тела поджелудочной железы. Видна гиподенсная опухоль тела ПЖ с неровными, бугристыми контурами 6x6 см (1)

Рис. 104. Позитронная эмиссионная томография той же больной, что и на рис. 12. В проекции выявленной на КТ опухоли отмечается очаг повышенного накопления 18Р-ФДГ диаметром 6 см с коэффициентом дифференциального накопления опухоль/нормальная ткань (КНД) 2,5–3 (1)