По локализации кисты могут относиться к головке железы, к телу или хвосту Кроме того, они бывают собственно панкреатическими, парапанкреатическими, или же комбинированными, то есть исходящими из ткани железы и парапанкреатической клетчатки. Последнее имеет отношение, главным образом, к ложным кистам, являющимся проявлением ХП.
В зависимости от наличия осложнений различают неосложненные и осложненные кисты ПЖ. Осложнения (разрыв кисты, формирование свищей, кровотечение и др.) почти всегда связаны с ХП.
Клинические проявления полостных образований поджелудочной железы также имеют ряд общих черт, что, по всей вероятности, послужило основанием к их искусственному объединению в хирургической литературе.
Поскольку многие ложные и истинные кисты могут достигать значительного объема, больные иногда жалуются на выбухание в верхнем отделе живота, часто асимметричное, и даже сами пальпируют у себя патологическое образование. Отмечается тяжесть в животе, боли различной интенсивности (при истинных кистах боли наблюдаются редко), а также симптомы, связанные со сдавлением и смещением соседних органов, в первую очередь, желудка (ощущение быстрого насыщения и тяжести при приеме пищи, отрыжка, изжога).
При пальпации живота в верхнем его отделе может определяться плотноэластическое, гладкое, безболезненное или малоболезненное образование, располагающееся в зависимости от локализации кисты в эпигастрии или же в одном из подреберий.
При контрастном рентгенологическом исследовании желудочно-кишечного тракта иногда выявляется смещение соседних полых органов: желудка, двенадцатиперстной кишки с расширением ее "подковы" (при локализации кисты в головке), поперечноободочной кишки.
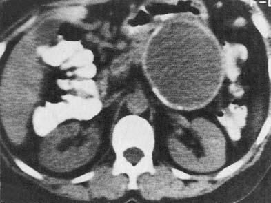
Высокой информативностью отличается ультразвуковое исследование, при котором обнаруживается округлое эхонегативное образование, ограниченное капсулой. Мелкие и средних размеров полостные образования, протекающие бессимптомно, иногда случайно выявляются при УЗИ органов брюшной полости, производимом по другому поводу.
Ценным, хотя и более дорогим, методом диагностики панкреатических кист является КТ, дополняющая УЗИ (рис. 162, 163).
Оба этих метода помогают дифференцировать кистоподобные образования ПЖ от кистозного или опухолевого поражения других рядом расположенных органов, прежде всего почек и надпочечников. Под контролем УЗИ или КТ осуществляется и диагностическая пункция кист через переднюю брюшную стенку для исследования их содержимого (биохимический анализ, в том числе на ферменты ПЖ, цитологическое исследование осадка, микробиологическое исследование).

Рис. 162. Ультразвуковое исследование. Псевдокиста поджелудочной железы 
Рис. 163. Компьютерная томография. Псевдокиста поджелудочной железы
Клинические проявления кист и кистоподобных образований ПЖ различного происхождения имеют свои особенности. Так, для наиболее часто встречающихся ложных кист характерен острый панкреатит, перенесенный в прошлом, или анамнез ХП, текущего с периодическими обострениями. Большинство этих больных злоупотребляет алкогольными напитками или же страдает холелитиазом (нередко – т. н. постхолецистэктомический синдром). Небольших размеров псевдокисты обычно не рассматриваются как самостоятельное патологическое состояние, а считаются компонентом полостной формы ХП.
Крупные и гигантские кисты в большинстве случаев определяются пальпаторно и, как правило, болезненны, особенно в периоды обострений, когда патологическое образование может увеличиться в размерах. При этом появляются признаки общей воспалительной реакции (температура, иногда озноб, недомогание, слабость, острофазовые изменения белой крови, увеличение СОЭ).
Истинные кисты, представляющие собой врожденную аномалию ПЖ, как правило, бессимптомны до достижения ими значительных размеров, нередко бывают множественными и могут сочетаться с кистозным поражением почек или печени.
Ретенционные кисты при кистозном фиброзе ПЖ (муковисцидозе) обычно мелкие, множественные и сами по себе мало беспокоят больного. Главным симптомом поражения ПЖ в данном случае является прекращение ее внешней секреции и соответствующие нарушения пищеварения, которые начинаются с раннего детского возраста и обычно сочетаются с тяжелой упорно рецидивирующей инфекцией в бронхиальном дереве. Диагностическим лабораторным тестом является так называемая потовая проба, выявляющая повышенное содержание хлоридов в поте ребенка.
Клиника пролиферирующих (опухолевых) кист рассмотрена в пособии, посвященном новообразованиям ПЖ.
Эхинококковые кисты ПЖ встречаются почти исключительно у жителей южных регионов и, как уже упоминалось, обычно сочетаются с соответствующим поражением других органов (печени, легких). При УЗИ или КТ содержимое паразитарной кисты может выглядеть неоднородным из-за наличия в ней дочерних эхинококковых пузырей.
Лечение кист поджелудочной железы
Подавляющее большинство кист и кистоподобных образований ПЖ подлежит оперативному лечению. Наиболее сложной задачей является лечение ложных кист, являющихся проявлением ХП, поскольку в данном случае меры, направленные только на устранение полостного образования, чаще всего не приводят к цели, а хирургическое лечение основного заболевания связано с трудностями, которые рассматривались выше.
Первой задачей при оперативном лечении ложных кист, в которых, за редким исключением, течет инфекционно-воспалительный процесс, является их вскрытие через переднюю брюшную стенку, эвакуация остатков панкреонекроза и дренирование тем или иным способом. В опорожненную полость вводится один или несколько дренажей (часто и тампонов) (рис. 164), причем могут использоваться системы для постоянного или периодического промывания псевдокисты антисептическими растворами.
В прошлом рекомендовалось также рыхлое заполнение полости тампонами с мазью Вишневского. После вскрытия гигантских ложных кист рекомендовалось также подшивать края их фиброзной капсулы к ране передней брюшной стенки для отграничения дренируемой полости кисты от свободной брюшной полости. Этот прием называется цистостомией, или марсупиализацией, кисты (от лат. marsupium – сумка кенгуру). В дальнейшем у части больных, у которых полость не имеет стойкого сообщения с панкреатическим протоком, она может постепенно облитерироваться. В части же случаев, как уже упоминалось в разделе о лечении ХП, полость сохраняется и формируется панкреатический свищ, для устранения которого необходимо обеспечение беспрепятственного оттока панкреатического секрета в желудочно-кишечный тракт (см. ниже).
С целью ликвидации кист, полость которых поддерживалась благодаря сообщению ее с протоковой системой ПЖ, на протяжении длительного времени применялось так называемое внутреннее дренирование кист путем анастомозирования их с просветом желудка, двенадцатиперстной или тощей кишки (цистогастростомия, цистодуоденостомия, цистоеюностомия с выключенным из пищеварения участком тощей кишки (рис. 165, 166)).

Рис. 164. Наружное дренирование ложной парапанкреатической кисты.

Рис. 165. Наложение цистогастроанастомоза