Существует ряд клинических различий, в большинстве случаев позволяющих дифференцировать рассматриваемые заболевания. Так, прежде всего, для рака характерен относительно короткий анамнез, не превышающий нескольких недель или, в крайнем случае, месяцев, тогда как при ХП анамнез чаще бывает более длительным. Операбельный рак ПЖ почти никогда не проявляется интенсивными болями, а вызываемая им обтурационная желтуха в подавляющем большинстве случаев возникает на фоне видимого здоровья, в результате чего больные вначале обычно госпитализируются в инфекционные отделения для исключения вирусного гепатита. В то же время при ХП обтурационная желтуха возникает у больных чаще всего с алкогольным анамнезом, в прошлом перенесших острый панкреатит или же длительное время страдавших от болевого синдрома и периодических обострений инфекционного процесса, связанных с ХП. Если же обтурационная желтуха возникает у больных ХП холангиогенного происхождения и связана с затрудненным отхождением желчного конкремента или ущемлением его в фатеровой ампуле, то, как правило, имеет место выраженный болевой синдром и другие признаки обострения калькулезного холецистита и холан-гита, не характерные для желтухи, связанной с раком головки ПЖ.
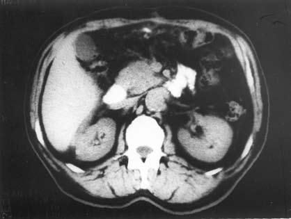
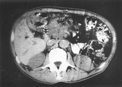
К сожалению, и специальные методы не во всех случаях позволяют решить рассматриваемую дифференциально-диагностическую задачу. Так, исследование крови больного на карбогидратный антиген (СА19-9) и раковый эмбриональный антиген (РЭА) дает отчетливо положительный ответ лишь при достаточно больших размерах опухоли, часто в неоперабельных случаях. Исследование ПЖ с помощью ультразвука или на компьютерном томографе дает увеличение размеров железы, в особенности ее головки, и при ХП, и при раке, а также выявляет очаговые образования тех или иных размеров, причем для рака более характерно одиночное гипоэхогенное образование, а при ХП поджелудочная железа чаще изменена диффузно, она гиперэхогенна (более плотная), содержит множественные кальцификаты (см. рис. 137–139), хотя точно дифференцировать характер очагов удается далеко не во всех случаях. Трудности дифференциальной диагностики ХП и рака ПЖ по данным УЗИ и КТ иллюстрируют рисунки 142–145.

Рис. 142. Ультразвуковое исследование. Рак головки ПЖ. На снимке видна гипоэхогенная бугристая раковая опухоль 5x4 см (1) 
Рис. 143. Ультразвуковое исследование. Хронический псевдотуморозный панкреатит. На снимке видна гипоэхогенная бугристая "опухоль" головки ПЖ 3x3,5 см (1) 
Рис. 144. Компьютерная томография. Рак головки ПЖ. На снимке видна гиподенсная бугристая опухоль головки ПЖ 4x5 см (1)

Рис. 145. Компьютерная томография. Хронический псевдотуморозный панкреатит.
На снимке видна гиподенсная бугристая, с нечеткими контурами "опухоль" головки ПЖ 5x6 см (1)
Вместе с тем существенное расширение главного панкреатического протока и тем более наличие в нем конкрементов нехарактерно для рака и, как правило, свидетельствует о ХП. Выявление же множественных очагов в печени при наличии опухоли ПЖ говорит о гематогенной диссеминации рака ПЖ.
Уже упоминавшаяся тонкоигольная биопсия, осуществляемая через переднюю брюшную стенку под контролем УЗИ или КТ, также не всегда решает вопросы дифференциальной диагностики. Выявление при цитологическом исследовании биоптата несомненно раковых клеток или их комплексов, разумеется, свидетельствует о раке. Однако отсутствие в биоптатах раковых элементов ни в коем случае не позволяет исключить онкологический диагноз, в том числе и после повторных пункций. Если при диагностической пункции удается получить гной, то диагноз ХП является наиболее вероятным, хотя и не абсолютно достоверным, поскольку обтурирующая опухоль может обусловить возникновение вторичного нагноительного процесса в протоковой системе железы.
При псевдотуморозной форме ХП даже лапаротомия, производимая опытным в данной области хирургом, не всегда позволяет с помощью прямого осмотра и пальпации железы исключить ее раковое поражение. Интраоперационно производимая пункционная биопсия дает возможность с высокой уверенностью получать материал из патологического очага, однако и после срочного цитологического исследования ситуация проясняется далеко не во всех случаях.
Прямая инцизионная биопсия при раке ПЖ представляет определенные технические трудности, в особенности при глубоком расположении очага в головке. Вместе с тем и после получения хорошего биоптата даже опытные патоморфологи не всегда могут уверенно дифференцировать рак от характерной для ХП эпителиальной пролиферации, особенно в условиях срочного исследования. Поэтому даже в специально занимающихся проблемой хорошо оборудованных учреждениях иногда допускаются диагностические и, соответственно, тактические ошибки, часть которых зависит от недооценки чисто клинических проявлений болезни. В результате этого больные псевдо-туморозным панкреатитом головки переносят отнюдь не абсолютно им показанную панкреатодуоденальную резекцию, направленную на радикальное удаление опухоли. А больные с предполагаемым неоперабельным раком, которым производились паллиативные вмешательства типа билиодигестивных анастомозов, живут необъяснимо долго и иногда ошибочно считаются чудесным образом спонтанно выздоровевшими от безнадежного онкологического заболевания. В настоящее время большинство хирургов, оперирующих на ПЖ, считают, что при невозможности интраоперационно исключить рак следует выполнить резекцию ПЖ.
Лечение
Общим показанием к хирургическому лечению ХП является неэффективность консервативного лечения, проводимого терапевтами-гастроэнтерологами. В редких случаях показания могут рассматриваться как неотложные, например, при остром кровотечении в полость псевдокисты и/или в просвет желудочно-кишечного тракта, а также при разрыве крупной кисты. Операции по срочным показаниям выполняются значительно чаще. Они показаны при обострении инфекционного процесса в ПЖ и окружающих ее тканях, механической желтухе, а также декомпенсированной дуоденальной непроходимости. В большинстве же случаев лечение ХП осуществляется в плановом порядке после тщательного исследования больного. Настоятельность показаний к операциям по поводу ХП увеличивается при невозможности исключить злокачественную опухоль ПЖ.
Хирургическое лечение ХП связано с двумя принципиальными трудностями. Первая из них состоит в том, что патологические изменения в железе, пораженной ХП, бывают тяжелыми, распространенными и малообратимыми. В то же время железа, даже у тяжелых больных, продолжает выполнять какую-то часть жизненно важных для больного экзо– и эндокринной функций. Поэтому радикальная в полном смысле этого слова операция в виде панкреатэктомии неизбежно подразумевает сложную последующую и крайне дорогостоящую заместительную терапию пищеварительными ферментами и гормонами на протяжении всей жизни, а, кроме того, связана с большими техническими трудностями, возможными осложнениями и непосредственной опасностью для больного. Отсюда следует, что большинство методов хирургического лечения ХП являются, если не паллиативными, то в какой-то мере компромиссными, то есть предполагают сохранение и функционирование патологически измененной ткани железы или, во всяком случае, ее части.
Вторая принципиальная трудность состоит в том, что большинство больных ХП, как уже упоминалось, являются хроническими алкоголиками, а результаты применения большинства хирургических методов в огромной степени зависят от того, насколько оперированный захочет и сможет справиться со своим пороком. Если больные после операции продолжают употребление крепких напитков, улучшение их состояния чаще всего бывает временным, несмотря на корректно выполненные трудоемкие, нередко многоэтапные и дорогостоящие вмешательства. Поэтому лечение больных алкогольным ХП должно осуществляться преемственно хирургами и наркологами.
При оперативном лечении ХП могут и должны выполняться следующие основные задачи:
1. Освобождение ПЖ и парапанкреатической клетчатки от неотторгшихся участков инфицированного панкреонекроза и его производных (тканевые секвестры, замазкообразный детрит, гной). Этот элемент вмешательства, осуществляемый при наиболее часто встречающихся в хирургической практике полостных формах ХП, может рассматриваться как поздняя некрэктомия (секвестрэктомия).
2. Устранение протоковой гипертензии путем обеспечения беспрепятственного оттока секрета ПЖ в просвет кишечника.
3. Санация желчевыводящих путей и обеспечение свободного оттока желчи при ХП, связанном с желчно-каменной болезнью, а также при вторичном стенозе холедоха, осложняющем другие формы ХП.
4. Резекция наиболее измененной части ПЖ при относительно локализованных формах ХП (обычно вместе с двенадцатиперстной кишкой и пилорическим отделом желудка гастропанкреатодуоде-нальная резекция или левосторонняя резекция ПЖ).
5. Осуществление специальных мер, направленных на ликвидацию крупных псевдокист и панкреатических свищей, имеющих самостоятельное значение (обычно эта задача решается в ходе выполнения задач 1–4, сформулированных выше; см. также специальные разделы).