Цирроз печени
Цирроз печени – это конечная стадия ряда хронических воспалительных заболеваний печени, которая характеризуется гибелью гепатоцитов с образованием узлов-регенератов и соединительнотканных перемычек, нарушением портокавального кровотока и всех функций органа. Из определения следуют три основные положения. Во-первых, это не самостоятельное заболевание, а исход многих патологических процессов происходящих в паренхиме печени. Во-вторых, при циррозе имеется выраженная диффузная структурная перестройка печеночной ткани с гибелью значительной массы гепатоцитов, нарушением архитектоники печеночной дольки, формированием на их месте узлов из метаплазированных клеток-регенератов, окруженных мощными соединительнотканными перегородками. В-третьих, такая деструктуризация печеночной ткани приводит к нарушению портокавального кровотока в печени и всех ее функций.
Этиология и патогенез
Длительное время единственной причиной цирроза печени считалась хроническая алкогольная интоксикация. Алкоголь является гепатотоксическим веществом, приводящим к жировой дистрофии печени. Однако в последующие годы цирроз печени был выявлен у больных, не употребляющих алкоголь, но перенесших вирусный гепатит. Такая связь наблюдается у 60–80 % больных. Число вирусов, вызывающих гепатит, постоянно увеличивается и сегодня известно более десяти их видов, наиболее частыми возбудителями гепатита являются вирусы А, В, С, D. Внедряясь в гепатоцит, они вызывают разрушение клетки. Если больной не умирает в остром периоде заболевания от печеночной недостаточности, погибшие гепатоциты замещаются регенерирующими клетками и соединительной тканью, и развивается цирроз печени.
Тем не менее алкоголизм многие исследователи называют второй по частоте причиной, вызывающей цирроз печени. По их данным, хроническая алкогольная интоксикация на протяжении ряда лет способна привести к деструкции гепатоцита и печеночной дольки. Другие исследователи полагают, что злоупотребление алкоголем и связанные с ним изменения печени (жировая дистрофия) являются лишь благоприятным фоном для вирусной инвазии – истиной причины заболевания.
Большое значение в возникновении хронического гепатита и цирроза печени занимают лекарственные препараты и химические интоксикации. Известно токсическое воздействие на печень фторсодержащих ингаляционных анестетиков (фторотан), антибиотиков (эритромицин, рифампицин), противотуберкулезных препаратов (изониазид), противовоспалительных (парацетамол) и противосудорожных средств (валпроат натрия в сочетании с фенобарбиталом), антидепрессантов (амитриптилин). Некоторые из них больные принимают длительное время и без соответствующего медицинского контроля. Химические производства, лаборатории, сельскохозяйственная химия, бытовые и транспортные загрязнения могут вызывать повышение концентрации ядовитых веществ в воздухе, воде, почве и пищевых продуктах. Они могут накапливаться в тканях организма и быть причиной иммунных и аутоиммунных процессов в печени, вызывая дегенерацию, метаплазию и гибель гепатоцитов.
Значительная роль в этиологии цирроза печени принадлежит многочисленным метаболическим нарушениям в организме, связанным с генетическими ферментативными расстройствами. К ним относятся гемохроматоз, болезнь Вильсона, дефицит а 1-антитрипсина и ряд других нарушений. Гемохроматоз связан с избыточным накоплением в крови железа. При этом оно куммулируется в клетках печени, способствуя развитию цирроза. При болезни Вильсона происходит избыточное накопление в крови и тканях организма меди. Это приводит к нарушению функции центральной нервной системы и циррозу печени. При дефиците – антитрипсина развиваются эмфизема легких и цирроз печени.
Причиной цирроза печени может быть воспалительный процесс бактериальной природы в желчевыводящей системе, при котором развиваются холестаз, холангит, микроабсцедирование и склерозирование печеночной ткани. Аналогичные изменения могут возникать в результате паразитарной инвазии в печень (гельминтозы, амебиаз, эхинококкоз и др.).
Хронические и острые заболевания сердечно-сосудистой системы могут явиться причиной портальной гипертензии и изменений в печени, характерных для цирроза. Так, повышение давления в верхней полой вене вследствие склерозирующего перикардита, пороков сердца с правожелудочковой недостаточностью, болезни Такаясу (стеноз верхней полой вены) могут резко затруднять портокавальный кровоток в печени и приводить у циррозу печени. Аналогичные изменения наблюдаются при болезни Бадда-Киари – склерозе и тромбозе печеночных вен на уровне впадения их в нижнюю полую вену.
Несмотря на рассмотренное множество известных причин, вызывающих цирроз печени, есть пациенты, страдающие этим заболеванием, у которых при тщательном обследовании не удается обнаружить анамнестических или лабораторных указаний на его причину. В таких случаях говорят о криптогенном циррозе печени, который встречается у 5-15 % больных.


Рис. 77. Вид печени при мелкоузловом (А) и крупноузловом (Б) циррозе
Макроскопически при циррозе печени наблюдается увеличение или уменьшение объема органа, изменение цвета от вишневокоричневого до "кирпичного" или серого. Поверхность печени становится бугристой, консистенция более плотной. Выделяют мелкоузловую и крупноузловую формы цирроза печени. При мелкоузловой форме – узлы одинакового размера, диаметром менее 3 мм. Большинство исследователей считают, что мелкоузловая форма характерна для ранней стадии болезни и наблюдается чаще при алкоголизме, обструкции желчных протоков, нарушенном оттоке венозной крови, гемохроматозе (рис. 77).
При крупноузловой форме – узлы различной величины, намного больше 3 мм в диаметре. Некоторые из них достигают нескольких сантиметров. Соединительнотканные перегородки между узлами часто бывают широкими, втянутыми и выглядят как рубцы. Их выраженность определяет серый цвет печени и уменьшение ее размеров. Как правило, при таких изменениях бывает усилен венозный рисунок на связочном аппарате печени и брюшине в непосредственной близости от нее. При этом часто наблюдаются асцит, желтушность кожных покровов и внутренних органов. На разрезе видны те же узлы и плотные соединительнотканные перемычки, венозный рисунок печени обеднен, цвет ткани оранжевый или серый.
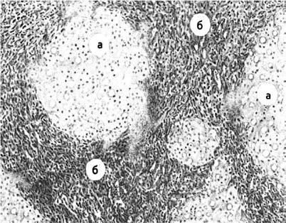
При микроскопическом исследовании дольчатое строение паренхимы печени с характерным расположением венозных сосудов, артериол и желчных капилляров, искажено. Вместо печеночных долек определяются узлы-регенераты, состоящие из округлых, беспорядочно лежащих клеток разного размера. Портальные синусы и центральная вена отсутствуют или резко деформированы. Узлы окружены широкими прослойками соединительной ткани с редкими венозными, артериальными сосудами и желчными потоками (рис. 78).

Рис. 78. Микроскопическая картина цирроза печени:
А – узлы-регенераты; Б – широкие соединительнотканные перемычки
Клиническая картина и данные объективного исследования
Клиническая картина при циррозе печени может быть весьма разнообразна и зависит от выраженности изменений в паренхиме печени и ее функционального состояния. Только половина всех больных циррозом печени обращаются к врачу с жалобами на ноющие боли в правом подреберье, чувство тяжести в животе, плохой аппетит, быстрое насыщение, увеличение живота, быструю утомляемость, потемнение мочи после употребления алкоголя и других погрешностей в диете. Нередко больные указывают на перенесенный гепатит, злоупотребление алкоголем, наркоманию. При осмотре – кожа сухая, серо-желтоватого цвета, питание нормальное или сниженное, при том, что живот кажется непропорционально увеличенным. На передней брюшной стенке часто заметен усиленный венозный рисунок. При пальпации живота может определяться передний край печени, который спускается ниже реберной дуги, плотный на ощупь. У не полных больных удается определить бугристую поверхность печени. Перкуторно часто определяется свободная жидкость в отлогих местах брюшной полости, большое ее количество (5–8 литров) обусловливает увеличение объема и напряжение живота, "зыбление" передней брюшной стенки при постукивании кончиками пальцев.
Около 30 % больных узнают о циррозе печени как о случайной находке при обследовании по поводу другой патологии или при диспансерном обследовании. Они не предъявляют жалоб и не считают себя больными, поскольку продолжают выполнять привычную для себя работу и некоторое беспокойство (тянущие боли в правом подреберье, увеличение живота и др.) объясняют другими причинами.