
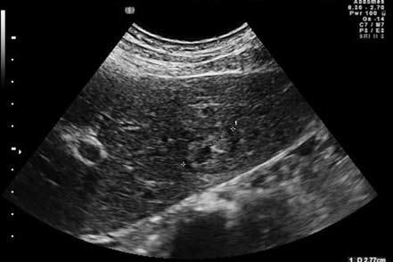
Рис. 62. Ультрасонограмма органов брюшной полости: метастаз рака кардиального отдела желудка в левой доле печени
Ультразвуковое исследование (УЗИ) при раке желудка проводится тремя способами: 1) трансабдоминальное исследование, при котором можно увидеть метастазы в печени, распространение опухоли на поджелудочную железу, увеличенные регионарные лимфатические узлы, да и саму опухоль, если она достаточно больших размеров и доступна визуализации; 2) полипозиционное полипроекционное исследование желудка после заполнения его дегазированной жидкостью для улучшения визуализации стенок органа. При этом можно увидеть саму опухоль и оценить не только ее размеры, но и распространенность; 3) исследование стенки желудка внутриполостным ультразвуковым датчиком, при котором можно оценить глубину инвазии стенки желудка опухолью, состояние перигастральных лимфатических узлов. В целом диагностическая чувствительность ультрасонографического метода колеблется от 70 до 80 %, что позволяет повысить точность дооперационной диагностики, правильно определить стадию опухолевого процесса. УЗИ гораздо более эффективно для выявления метастазов опухоли.
Такими признаками являются:
1) Регионарная лимфаденопатия. Отчетливо выявляется увеличение лимфатических узлов в парааортальной клетчатке, в зоне левой желудочной артерии, в парапанкреатической клетчатке по верхнему краю поджелудочной железы и по ходу селезеночной артерии, в воротах печени и селезенки.
2) Очаговые поражения паренхиматозных органов: печени, селезенки, почек, предстательной железы (рис. 62).
3) Наличие локального и тотального асцита.

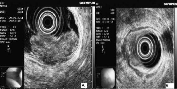
Рис. 63. Эндоскопическая ультрасонография пищевода при раке желудка: А – большая опухоль; В – небольшая опухоль с прорастанием мышечной оболочки
Эндоскопическое ультразвуковое исследование. Эндоскопическая ультрасонография существенно расширяет возможности диагностики рака верхних отделов желудочно-кишечного тракта.
При обследовании больных с опухолями кардиоэзофагеальной зоны эндоскопическое УЗИ позволяет выявить точные границы поражения стенки пищевода и желудка. При этом существенную роль играет решение вопроса о наличии перехода опухоли на пищевод (рис. 63).

Рис. 64. Рак желудка (рентгенограмма)
Эндоскопическая ультрасонография позволяет выявить даже единичные метастазы в парагастральных лимфатических узлах, в особенности находящихся в зоне поджелудочной железы и в воротах печени.
При рентгенологическом исследовании применяют контрастирование барием – рентгеноскопия желудка. На рисунке 64 представлена рентгенограмма больного инфильтративным раком желудка.
Наиболее важными рентгенологическими признаками рака желудка являются выявление: 1) опухоли или дефекта наполнения; 2) потери эластичности желудочной стенки в области опухоли, что ведет к уменьшению или полному прекращению перистальтики; 3) изменения рельефа слизистой оболочки в месте локализации опухоли. При распаде опухоли и образовании кратера последний выявляется в виде депо бария в центре дефекта. Изменения формы желудка вследствие раковой инфильтрации носят разнообразный характер и зависят от локализации, формы и размеров опухоли. Схематично разнообразного рода деформации можно сгруппировать таким образом: 1) желудок в форме рога при расположении опухоли на малой кривизне; 2) в случаях циркулярной инфильтрации антрального отдела он выпрямляется и приобретает форму трубки; 3) при расположении опухоли в субкардиальном отделе или верхней трети тела может возникнуть каскадный желудок; 4) рак, который локализуется в теле желудка (в средней трети его), приводит к деформации по типу восьмерки.
Рентгенодиагностика раннего рака желудка практически невозможна.
Компьютерная томография (КТ) и магнитно-резонансная томография (МРТ)
Несмотря на значительно более высокую разрешающую способность указанных рентгенологических методов, отчетливых преимуществ для определения интраорганного распространения опухоли они не имеют. Дополнительная информация может быть получена для выявления прорастания опухоли в окружающие органы при изменении их формы и взаиморасположения. В сочетании с ангиографией они позволяют судить о прорастании опухоли в крупные кровеносные сосуды. Таким образом, основными МРТ-симптомами рака желудка являются: а) объемное образование в виде утолщения стенки желудка более 5–7 мм; б) изменение МР-сигнала от него (гипоинтенсивный и изоинтенсивный); в) однородность МР-сигнала от образования в обоих режимах исследования при ограниченном процессе и гетерогенность при распространенной форме опухолевой инфильтрации.
КТ и МРТ высокоэффективны для выявления очаговых поражений паренхиматозных органов, увеличенных лимфатических узлов в зонах регионарного метастазирования, а также для оценки состояния лимфатических коллекторов, находящихся в средостении, которые недоступны для исследования более простыми методиками.
Позитронно-эмиссионная томография (ПЭТ) – новый метод диагностики злокачественных опухолей с использованием различных естественных метаболитов, меченных радиоактивными изотопами. В основе позитронно-эмисионного сканирования с фтордеоксиглюкозой лежит различие в метаболизме глюкозы между нормальными и злокачественными клетками. 18-фтор-2-дезоксиглюкоза накапливается клетками опухоли в связи с тем, что злокачественные клетки не могут метаболизировать ее в результате фосфорилирования. В отличие от методов структурного сканирования (УЗИ, компьютерная томография, магнитно-резонансная томография) позитронно-эмиссионная томография является вариантом функционального сканирования с высокой разрешающей способностью. Следует подчеркнуть, что она применяется не только для дооперационного определения стадии опухоли, но и для оценки результата операции и определения эффективности проводимой химио– и радиотерапии. Лапароскопическую диагностику проводят с целью уточнения глубины поражения опухолью стенки желудка, в частности выхода на серозную оболочку, выявления распространения ее на соседние органы, обнаружения метастазов в печени, асцита и канцероматоза брюшины. Сопоставление лапароскопических данных о прорастании серозного покрова желудка с данными морфологического исследования резецированного желудка показало достоверность метода в 95 % случаев. Лапароскопию следует выполнять всем пациентам раком желудка за исключением случаев раннего рака и осложненного течения заболевания (стенозы входного или выходного отделов желудка, кровотечение), когда оперативное вмешательство предпринимают по жизненным показаниям независимо от лапароскопических находок.
Дифференциальная диагностика
Заболевания, с которыми необходимо дифференцировать рак желудка, можно разделить на две группы: 1) заболевания желудка и 2) заболевания, не связанные с желудком. К первой относят язвенную болезнь, разнообразные формы гастрита, перигастрит, доброкачественные новообразования (полипы, липомы, миомы, фибромы и т. д.), туберкулез, сифилис, актиномикоз, амилоидоз, безоары и др., ко второй – опухоли и кисты печени, поджелудочной железы, внебрюшинные опухоли и новообразования поперечной ободочной кишки. При кардиоэзофагеальном раке, сопровождающемся дисфагией, следует проводить дифференциальную диагностику с заболеваниями пищевода, в первую очередь с ахалазией.
Лечение
Первые резекции желудка по поводу рака были выполнены почти одновременно разными хирургами: Пеаном (Реап) во Франции в 1879 г., Ридигером (Rydygier) в Польше в 1880 г. Эти операции закончились летальными исходами. Лишь 29 января 1881 года профессор венского университета Т. Бильрот (Т. Billroth) впервые произвел успешную резекцию желудка по поводу рака. В России первая резекция желудка была выполнена в Петербурге М. К. Китаевским 16 июня 1881 г. (через 5 VS мес после Т. Бильрота), но со смертельным исходом. Первую успешную резекцию желудка по поводу рака в России выполнил в 1882 году Н.В. Экк. В 1884 г. Коннор (Connor) из Цинциннати (США) впервые выполнил гастрэктомию по поводу рака желудка (с летальным исходом), а в 1897 г. Шлаттер (Schlatter) в Цюрихе впервые с успехом осуществил эту операцию по поводу рака желудка, чем положил начало хирургическому лечениюрака тела и проксимального отдела желудка. Первую гастрэктомию в России произвел известный петербургский хирург, профессор С. П. Федоров в 1902 г., но успешное удаление желудка (гастрэктомия) впервые было выполнено в 1911 г. В. М. Зыковым в Москве.
В настоящее время, несмотря на некоторые успехи комбинированных методов лечения, лишь хирургический метод остается "золотым" стандартом при радикальном лечении рака желудка. Только операция и удаление опухоли позволяет надеяться на полное выздоровление пациента.
Радикальные операции по поводу рака всегда включали обязательное моноблочное удаление регионарных лимфатических узлов. Впервые такой подход был предложен более 100 лет назад Halsted при хирургическом лечении рака молочной железы. С тех пор это положение определяет стратегию онкохирургии в целом и тактику оперативного лечения рака желудка в частности.