Маргарита Васильевна Акулич - Жировая болезнь печени: понятие, связь с другими недугами, лечение домашними средствами, диета стр 3.

Книгу можно купить на ЛитРес.
Всего за 364.9 руб. Купить полную версию
Шрифт
Фон

Менопауза и ожирение печени

Менопауза также может увеличить риск развития ожирения печени, поскольку эстроген естественным образом защищает печень и поддерживает чувствительность к инсулину. Расширяющаяся талия, увеличение веса и снижение энергии, из-за чего вы меньше двигаетесь, увеличивают вероятность отложения большего количества жира в печени. Неудивительно, что больше женщин в постменопаузе, чем в пременопаузе, страдают жировой болезнью печени.

2.4 Советы, которые помогут поддержать вашу печень


Снижение веса

Принятие мер в повседневной жизни по правильному питанию и поддержанию здорового веса может иметь решающее значение. Простая потеря веса (всего на 35%) может помочь уменьшить жир, воспаление и рубцы в печени.

Аэробные упражнения

Аэробные упражнения (даже умеренной интенсивности) улучшают здоровье вашей печени, даже если они не приводят к потере веса. Физические упражнения и увеличение мышечной массы также помогают организму более эффективно использовать глюкозу.

Далее описаны несколько советов, которые помогут поддержать вашу печень (и весь организм).

Еда и питье



Ешьте много овощей, фруктов и продуктов с высоким содержанием клетчатки, таких как фасоль, бобовые и цельнозерновые продукты.

Ограничьте употребление напитков с высоким гликемическим индексом (включая соки, спортивные напитки, газированные напитки и алкоголь). Вместо этого пейте много воды.

Замените белый рис, белый хлеб и макароны на коричневый рис, киноа или тушеную зелень.

Замените белый картофель на сладкий картофель.

Согласно нескольким клиническим исследованиям, жирные кислоты омега-3 (например, в рыбьем жире) помогают уменьшить нарушения, связанные с жировой болезнью печени.

Ежедневно занимайтесь спортом, даже если это просто быстрая прогулка по окрестностям.

Замените транс-жиры и животные жиры оливковым маслом, маслом семян льна и авокадо. Выбирайте тофу, рыбу (предпочтительно выловленную в дикой природе) или нежирное свежее мясо (органическое) вместо жирного или обработанного мяса.

Принимайте Омега-3

Микродистиллированные жирные кислоты омега-3 помогают уменьшить нарушения, связанные с жировой болезнью печени.


Похудейте

Экологические токсины оказывают значительную нагрузку на печень. Поддержите свою печень, похудев.


III Жирная печень и высокий уровень холестерина

3.1 Результаты исследований. Высокий уровень холестерина усугубляет жировую болезнь печени

Холестерин


Результаты исследований

Лабораторное исследование показало, что высокий уровень холестерина приводит к долгосрочному рубцеванию печени и дисфункции иммунных клеток. По данным исследования Медицинской школы Кека при Университете Южной Калифорнии, избыток холестерина ускоряет развитие жировой болезни печени [3].

Существует давно установленная связь между диетой с высоким содержанием жиров и сахара и жировой болезнью печени, которая может привести к опасным для жизни состояниям, таким как цирроз и рак печени. Новое исследование Медицинской школы Кека при Университете Южной Калифорнии добавляет к этой картине некоторые детали и объемы. Лабораторное исследование, опубликованное в журнале Frontiers in Immunology, является первым в истории, в котором основное внимание уделяется тому, как различное количество холестерина в составе диеты с высоким содержанием жиров и сахара влияет на прогрессирование жировой болезни печени.

Моделируя заболевание на мышах, исследователи продемонстрировали, что высокое потребление холестерина может усугубить жировую болезнь печени, вызывая воспаление и образование рубцов, и что важно, рубцовая ткань может сохраняться даже после перехода на диету с низким содержанием холестерина. Результаты также показали, что диета с высоким содержанием холестерина может вызвать длительную дисфункцию в определенной популяции иммунных клеток, которые, как ранее было показано, играют роль в жировом заболевании печени.

Ана Маретти-Мира, доктор философии, доцент-исследователь медицины в Университете Южной Калифорнии сказала [3]:

«У вас может быть диета с высоким содержанием жиров и сахара, но если вы добавите к ней высокий уровень холестерина, это ускорит процесс, вызывающий воспаление в вашей печени. Люди сосредотачивают внимание на высоком уровне холестерина как на риске сердечно-сосудистых заболеваний, но ваша печень также может пострадать, вызывая воспаление, рубцевание и, возможно, цирроз печени».

Высокий уровень холестерина усугубляет жировую болезнь печени

Исследователи кормили мышей диетой с высоким содержанием жиров и сахара, которая, как было доказано, вызывает форму прогрессирующей жировой болезни печени, сходную с болезнью человека.

Мышей разделили на три группы, которые получали разное количество холестерина с пищей в течение 20 недель  среднего возраста для животных. Группа с низким уровнем холестерина получала на четверть меньше холестерина по сравнению со средней группой; группа с высоким содержанием холестерина получила в 25 раз больше, чем группа с низким содержанием холестерина. Через 20 недель в печени мышей из всех трех групп наблюдалось накопление жира, что является признаком доброкачественной жировой болезни печени, но в группе с высоким содержанием холестерина заболевание было более запущенным, с усилением воспаления и рубцовой тканью.

В течение следующих 10 недель мыши из всех трех групп получали низкий уровень холестерина в рамках диеты с высоким содержанием жиров и сахара. В конце этого периода это изменение в диете обратило вспять воспаление у мышей с высоким уровнем холестерина, но не уменьшило рубцовую ткань. Это открытие показывает, что ущерб, вызванный высоким уровнем холестерина, трудно исправить.


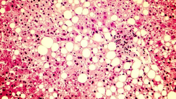
Изображение жировой болезни печени, показывающее триглицеридный жир, накопленный внутри клеток печени. (Изображение iStock). Источник: https://keck.usc.edu/news/high-cholesterol-leads-to-long-term-liver-scarring-and-immune-cell-dysfunction-in-lab-study/

3.2 Повреждающие изменения в многоцелевых клетках первой линии защиты организма. Что это говорит о вашей диете: все в балансе

Повреждающие изменения в многоцелевых клетках первой линии защиты организма


Маретти-Мира и ее коллеги также углубились в изменения в клетках, называемых макрофагами, которые важны для врожденного иммунного ответа  передовой линии естественной защиты организма. Макрофаги выполняют несколько ролей. Они могут спровоцировать воспаление, чтобы бороться с вторгшимися насекомыми; подавить воспаление, когда опасность миновала; общаться с другими иммунными клетками; и даже помочь с исцелением.

Макрофаги участвуют в жировом заболевании печени, но парадоксальным образом: кажется, что они способствуют повреждению, но без них повреждения не заживают. Исследователи использовали секвенирование RNA (РНК  рибонуклеи́новой кислоты), чтобы сравнить, какие гены были активированы в макрофагах печени мышей в исследовании, с экспрессией генов в нормальных макрофагах.

В соответствии с другими выводами команды, гены, вызывающие воспаление и рубцевание, активировались при диете со средним и высоким содержанием холестерина, а гены, связанные с заживлением, активировались при переходе на низкое потребление холестерина. Однако в макрофагах из исходной группы с высоким содержанием холестерина гены, которые приводят к образованию рубцов, оставались активными даже после переключения. Этот ключевой результат предполагает, что регулярное употребление слишком большого количества холестерина может вызвать долгосрочные, труднообратимые изменения в макрофагах.

Ваша оценка очень важна

0
Шрифт
Фон

Помогите Вашим друзьям узнать о библиотеке

Скачать книгу

Если нет возможности читать онлайн, скачайте книгу файлом для электронной книжки и читайте офлайн.

fb2.zip txt txt.zip rtf.zip a4.pdf a6.pdf mobi.prc epub ios.epub fb3