Кожевников Александр - Эффект очевидного. Через призму здоровья стр 8.

Книгу можно купить на ЛитРес.
Всего за 399 руб. Купить полную версию
Шрифт
Фон

Глава 5

«День ног? Нет, я лучше пропущу. Зачем тренировать ноги?»

Может многие не поймут, что вообще за название такое. Почему вообще можно что-то не любить делать и почему именно тренировку ног.

Присмотритесь получше, кто активно посещает тренажерный зал. Наверняка вы знакомы с теми, кто тренируется вместе с вами. Вы часто пересекаетесь на тренировках, и вы имеете возможность понаблюдать за тренировочным режимом ваших знакомых. Часто так бывает, что тренировку ног намеренно делают более легкой. Обыватель спросит: «Почему»? На самом деле, все значительно проще, чем кажется. Сейчас расскажу.

Исходя из статистических данных, тренировки с отягощениями предпочитают далеко не все, кто понимает их полезность и необходимость. В Москве эта цифра находится около 40 %, в Санкт-Петербурге около 30 %, в регионах ситуация хуже от 15 % до 20 % [11]. И, хотя, тенденция к увеличению приверженцев фитнес тренировок растет, так ли все хорошо на деле?

Как вы думаете, почему не все те, кто понимает необходимость регулярных занятий оздоровительным фитнесом посещают тренажерные залы и фитнес студии? Дело в банальном не желании работать тяжелыми весами. Сразу оговорюсь, что под «тяжелыми» весами я имею в виду корректные по тяжести нагрузки, которые будут соответствовать 6070 % от максимальных. Такие нагрузки и будут оздоровительными.

Самый главный конкурент и враг всех фитнес клубов Лень.

Так вот, что считать тяжелыми упражнениями и почему некоторые тренировки воспринимаются легче, несмотря на одинаковое количество упражнений. Все дело в величине мышц, задействованных во время тренировки и в характере упражнений на эти мышцы.

Самые крупные мышцы в теле это Ноги: бедра, голени и ягодицы. Вторая по величине мышечная группа это мышцы Спины. Остальные мышечные группы менее массивные.

Как вы уже поняли, массивные мышечные группы достаточно тяжело и энергозатратно тренировать в высоком качестве. Но, дело не только в величине мышц, но и в характере упражнений. Самые тяжелые и энергозатратные упражнения как раз приходятся на тренировку ног и спины.

К примеру, возьмем тренировку груди и спины. Как выдумаете, какое упражнение будет для организма тяжелее: жим штанги лежа или тяга штанги в наклоне к поясу?

В обоих упражнениях штанга и возможность корректировать вес снаряда. Казалось бы, ощущения от упражнения должны быть одинаковыми, но, разница все же есть. Догадались?

Жим штанги лежа на горизонтальной скамье это Региональное упражнение, в котором спортсмен занимает удобное положение на снаряде. Иными словами, комфортно ложится на лавку.

Тяга штанги в наклоне упражнение Глобального характера, в котором есть только снаряд и спортсмен.

Только представьте, какое количество параметров для контроля будет у спортсмена, который делает тягу штанги:

 Положение тела в пространстве;

 Углы в тазобедренном и коленном суставах;

 Удержание тела в необходимой позиции наклона;

 Контроль за дыханием;

 Удержание тела в наклоне от желания распрямиться (обязательно возникнет желание выпрямиться при выполнении упражнения);


При такой технике в упражнении включаются гораздо больше мышечных групп, чем в упражнении Жим штанги лежа (упражнения в позиции лежа, сидя, полусидя всегда воспринимаются легче).

При равном количестве подходов и повторов энергия на их выполнение будет расходоваться по-разному.

Тот же принцип действует и в отношении тренировки ног. Упражнения с активным задействием мышц ног являются самыми энергозатратными и тяжелыми из всех упражнений с отягощениями. Вы все прекрасно знаете их:

Приседания со штангой и с гантелями;

Выпады и их вариации;

Тяга гантелей и штанг;

Жим ногами в тренажере.


В нижних конечностях человека 25 средних и больших по величине мышц [12]. В тот или иной промежуток времени, во время выполнения упражнения в ногах одновременно работают от 20 до 25 различных мышечных групп, не говоря уже про мышцы, которые в этот момент выполняют функцию стабилизаторов положения тела в пространстве.

Вот и посудите сами, многие не хотят выполнять упражнения на ноги из их сложности, тяжести и энергозатратности. Такие упражнения будут вызывать самые яркие эмоции, сильнее утомлять и будут вызывать самый сильный адаптационный сдвиг в организме. Восстановление после таких упражнений притекает дольше обычного, и часто сопровождается болезненными ощущениями в ногах, что говорит о сильной нагрузке на мышечно-связочный аппарат, эндокринную и нервную системы.

Заметьте, тренировать ноги совершенно необходимо по нескольким причинам.

Причина  1: чистая техника в сложных, глобальных упражнениях на ноги крепкие мышцы ног, спины и туловища тонус мышц, окружающих позвоночник поддержка для него!

Причина  2: Тонус мышц ног хорошо развита сосудистая сеть в ногах корректный венозный отток, хорошая капилляризация мышц ног здоровье сердечной мышцы и системы кровообращения. Заметьте, что при упоминании здоровой сердечно-сосудистой системы просто необходимо иметь тренированные ноги. Ноги это почти 50 % сосудов в теле человека. При отсутствии нормального тонуса в ногах начинается жировая дистрофия мышц (замена части мышечных волокон жировыми клетками). Мышцы приобретают черты Мраморного мяса.

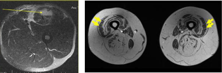
Посмотрите на срез бедра, который сделан с помощью МРТ.



Слева нормальная, тонусная мускулатура в бедре, справа жировое перерождение мышц (мышцы просто отсутствуют). Нормального кровообращения в таких мышцах просто не будет, так как мышц нет. Скорее всего будет варикоз. Жировая мышечная дистрофия не редкость, когда речь идет о полном отсутствии нагрузки (она должна быть!) на скелетную мускулатуру.

Причина  3: Тонус мышц ног активная работа лимфатической системы отсутствие застойных процессов в ногах, отсутствие отеков и лишнего веса контроль за фигурой и крепкий иммунитет.

Причина  4: Эстетический аспект тренированных ног мотивация для тонуса остальных мышц в теле.

Вообще, я бы просто перестал думать насчет такой надуманной проблемы, как тренировать ноги. Полюбите тренироваться чуть тяжелее, чем обычно, выполнять сложные упражнения для мышц ног. Пользы от такой тренировки будет великое множество и одежда начнет «сидеть» гораздо лучше.

Глава 6

«Красные флаги в фитнесе. О чем стоит знать?»

Страх не лучший партнер на тренировке, но необходим, как сторонний наблюдатель. Именно отсутствие умеренного в адекватной степени страха и толкает людей на безумные поступки на тренировках, которые приводят к определенным последствиям.

Сесть за написание этой главы для меня не означает, что я хочу нагнать жути в данный раздел. Дело в том, что в любом, даже в самом простом деле есть определенные правила игры, ограничения и предостережения. Всеми любимый «Авось» будет не уместен, когда речь зайдет о тренировках. Ведь, на кону здоровье и долголетие.

В тренировках обязательно будут присутствовать «Красные флаги», которые представляют из себя ограничения и предостережения.

Итак, давайте начинать. Это будет интересно.

 1: Найди тренера

Не рассчитывай только на свои силы. Тренировки с отягощениями это достаточно сложный процесс со своими нюансами и тонкостями. Какова вероятность, что ты обладаешь достаточным количеством знаний, которые помогут тебе прогрессировать и уберегут от травм? Скорее всего, знаний либо очень мало, либо вообще нет. Профессиональный тренер обязан глубоко знать анатомию и физиологию. Разбираться в вопросах построения сбалансированного питания и знать все о нутрицевтиках. Наиболее продвинутые тренеры обладают знаниями в вопросах реабилитологии и могут помочь с проблемами опорно-двигательного аппарата. Не стоит забывать про мотивацию, которая имеет свойство пропадать. Тренер, который находится на своем месте умеет зажечь искру и вовремя понять, когда следует подбодрить подопечного. Найдите хорошего тренера-наставника. Поверьте, такие водятся среди нас.

Ваша оценка очень важна

0
Шрифт
Фон

Помогите Вашим друзьям узнать о библиотеке

Скачать книгу

Если нет возможности читать онлайн, скачайте книгу файлом для электронной книжки и читайте офлайн.

fb2.zip txt txt.zip rtf.zip a4.pdf a6.pdf mobi.prc epub ios.epub fb3