Саидов Марат Зиявдинович - Клеточные и молекулярные механизмы патогенеза иммуновоспалительных ревматических заболеваний стр 5.

Шрифт
Фон

В ситуации иммуновоспалительного процесса при ревматических заболеваниях гомеостатическая регуляция матрикс-клеточных взаимодействий существенно нарушается. Формируются сложные каскады межклеточных взаимодействий, из которых наиболее патогенетически значимые это триада: макрофаг-лимфоцит-фибробласт, в которой связующим элементом являются макрофаги (Мф). Мф и гистогенетически близким им клеткам отводится центральная роль в формировании КВИ. Эта роль обусловлена тем, что эволюционно выработанная основное функциональное предназначение Мф, а именно утилизация отжившего клеточного и тканевого детрита, а также индукция адаптивного АГ-специфического иммунного ответа, в контексте ИВРЗ, трансформируется в презентацию ауто-АГ CD4+ и CD8+Т-лимфоцитам и аутоиммунным ответом на продукты дезорганизации рыхлой волокнистой неоформленной соединительной ткани [97]. Накопление Мф в очаге воспаления является признаком разгара этого патологического процесса.

КВИ является динамической структурой, отражающей этапность, рецидивирующее течение и исход ИВРЗ. КВИ может принимать организованные и неорганизованные формы. К первым относятся фолликулоподобные структуры и ГЗТ-гранулёмы, ко вторым диффузный клеточный воспалительный инфильтрат. Исход указанных форм КВИ может быть в виде его исчезновения; в виде образования рубца вследствие несбалансированного фиброза; в виде обострения воспаления in situ за счёт притока лимфоцитов, моноцитов, нейтрофилов и других клеток; в виде персистенции воспаления.

В процессах несбалансированного фиброза видное участие принимают активированные Мф. Участие этих клеток выражается в том, что продукция ими фибронектина усиливают аттракцию фибробластов в зоне воспаления и стимулируют их коллагенсинтетическую активность. Кроме этого важными факторами активации и пролиферации фибробластов является фактор роста фибробластов 2 (FGF2) и тромбоцитарные факторы роста (PDGF-A,  B,  C и D) [40]. Под влиянием этих и других факторов микроокружения фибробласты могут нарабатывать коллаген, но также способны секретировать и коллагеназу, вызываюшую деградацию основного вещества соединительной ткани, т. е. имеет место сочетание явлений фиброгенеза и фиброклазии, обуславливающих несбалансированный фиброз. Отметим роль макрофагальных ферментов. Протеазы макрофагов способны расщеплять любые белковые компоненты матрикса соединительной ткани, влияя на аутоантигенность последних. Однако в зонах прогрессирующего фиброза количество макрофагов, продуцирующих коллагеназу, существенно уменьшается.

Воздействие кандидатных триггеров иммуновоспалительных процессов приводят к первоначальным признакам дезорганизации рыхлой волокнистой неоформленной соединительной ткани, связанной с деполимеризацией основного вещества соединительной ткани (протеогликаны), разволокнением коллагенового каркаса, под воздействием в т. ч. коллагеназ, эластаз и гиалуронидаз, что сопровождается явлением метахромазии, повышением гидрофильности ткани и мукоидным набуханием, повышением сосудистой проницаемости и развитием воспалительного отёка. Нарушение структуры коллагеновых и эластических волокон, увеличение уровня фибронектина, продукция провоспалительных хемокинов и факторов роста эндотелиоцитов способствуют усилению воспаления и ангиогенеза [145].

Патоморфология диффузного КВИ на светооптическом уровне при всех ИВРЗ характеризуется определённой унифицированностью клеточного состава. Воспалительный инфильтрат является преимущественно мононуклеарным. В количественном отношении доминирующими клетками в составе КВИ являются лимфоциты, затем идут клетки макрофагально-моноцитарного ряда.

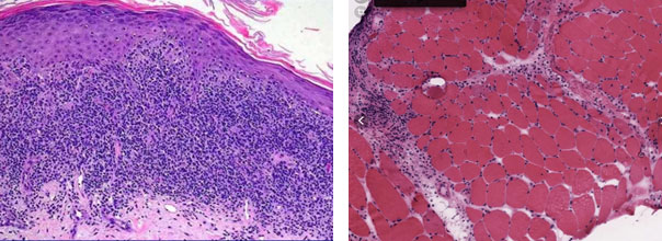
На рис. 1 представлена типичная картина ХПВ при СКВ и при ПМ. Видно, что инфильтрат и при СКВ в дерме, и в поперечнополосатых мышцах при ПМ располагается компактно, довольно выраженный и является мононуклеарным.


Рис. 1. Клеточный воспалительный инфильтрат в дерме при СКВ, слева (Х100). Такой же инфильтрат в поперечнополосатых мышцах при полимиозите, справа (Х100), по материалам [5]


Организованная форма инфильтрата в виде гранулёмы, или узелка, представлена на рис. 2 слева. В данном случае определяется гранулёма в миокарде при РЛ. Видно, что и в этом случае инфильтрат является мононуклеарным, компактным, морфологически идентифицируемым как узелок. Всем ИВРЗ характерно развитие продуктивного васкулита той или иной степени выраженности с периваскулярной локализацией КВИ. На рис. 2 справа представлена картина мононуклеарной инфильтрации при узелковом полиартериите. Важной особенностью этого препарата является наличие периваскулярного фибриноидного некроза. Но это явление определяется не всегда. На рис. 3 справа представлена картина продуктивного васкулита с активным периваскулярным инфильтратом, но без признаков некроза. Одновременное присутствие признаков некроза с последующей организацией этих зон в склеротические и активного мононуклеарного инфильтрата свидетельствует о рецидивирующем характере воспаления при ИВРЗ.


Рис. 2. Узелковый продуктивный миокардит при ревматической лихорадке, слева (Х100). Справа картина узелкового полиартериита, виден периваскулярный некроз и преимущественно мононуклеарная инфильтрация (Х100), по материалам [5]


Первыми клетками, реагирующими на воздействие кандидатных триггеров ИВРЗ, являются клетки макрофагально-моноцитарного ряда, дендритные клетки (ДК) и активированные эндотелиоциты. Фагоцитарная активность этих клеток по отношению в т. ч. к продуктам дезорганизации соединительной ткани является базисной в отношении индукции межклеточной кооперации по типу фагоциты-лимфоциты и формирования микроокружения, оптимального для индукции аутоиммунных процессов in situ. Фагоцитоз Мф указанных продуктов, а также материала аутологичных клеток, подвергшихся некробиозу и некрозу in situ, ограниченный протеолиз фагоцитированного материала обеспечивает включение клеточно-молекулярного механизма антигенной презентации Т-лимфоцитам, в изобилии находящихся в составе воспалительного инфильтрата. В очаге ХПВ идут интенсивные процессы неоангиогенеза. Не исключается, что активированные эндотелиоциты могут приобретать в т. ч. и АГ-презентирующие свойства.

В этих условиях наблюдается известный патоморфологический признак аутоиммунных процессов плазматизация лимфоидной ткани. В-лимфоциты подвергаются дальнейшему созреванию и превращению в плазматические клетки (CD38+)  продуценты ауто-АТ. Одновременно, активированные В-лимфоциты, находящиеся в микроокружении продуктивного воспаления могут выполнять функции АГ-презентирующих клеток (АПК), внося тем самым свой вклад в прогрессирование аутоиммунного процесса.

Важным является феномен эктопической экспрессии молекул МНС класса I и II на Мф и ДК при ИВРЗ, индуцирующих презентацию ауто-АГ аутоспецифическим клонам Т-лимфоцитов и последующее развитие аутоиммунного ответа [77].

В составе КВИ иммуногистохимически идентифицируются Т-лимфоциты (CD3+), Т-фолликулярные хелперные клетки (Tfh CD4+клетки), Т-цитотоксические клетки (CD8+), В-лимфоциты (CD20+), плазматические клетки (CD38+), макрофаги (CD68+), фолликуллярные дендритные клетки (фДК), в меньшем количестве нейтрофилы (Нф), эозинофилы, тучные клетки [42,87,89]. Согласно нашим данным с составе КВИ при ревматоидных синовитах и при дерматомиозите иммуногистохимически идентифицируются преимущественно Т-клетки (CD3+, CD4+), В-клетки (CD20+), макрофаги (CD68+). Также отмечалась тенденция к периваскулярной локализации КВИ и высокий уровень экспрессии ингибитора апоптоза онкопротеина bcl-2 и маркёра ангиогенеза CD31 [10,11]. Субпопуляционный состав КВИ имеет дифференциально-диагностическоле значение. Так при полимиозите CD8+T-клетки являются преобладающими в КВИ, тогда как CD4+T-клетки преимущественно проникают в мышечные волокна при дерматомиозите [98].

Ваша оценка очень важна

0
Шрифт
Фон

Помогите Вашим друзьям узнать о библиотеке

Скачать книгу

Если нет возможности читать онлайн, скачайте книгу файлом для электронной книжки и читайте офлайн.

fb2.zip txt txt.zip rtf.zip a4.pdf a6.pdf mobi.prc epub ios.epub fb3