Татьяна Александровна Лобаева - Сборник задач и упражнений по биохимии для студентов медицинских специальностей стр 5.

Книгу можно купить на ЛитРес.
Всего за 690 руб. Купить полную версию
Шрифт
Фон

Стрелками укажите на формулах N-гликозидную связь и сложноэфирную связи

Укажите на формулах атомы, которые образуют водородные связи с комплементарным азотистым основанием (обведите конкретные атомы).


ЗАДАНИЕ 8


Дайте характеристику двум соединениям, представленным выше, выбрав верные утверждения:



ЗАДАНИЕ 9


Дайте характеристику пары веществ, заполнив колонку с ответами:


ЗАДАНИЕ 10


Подпишите названия азотистых оснований, входящих в структуру:

Укажите, какое их них пуриновое, а какое пиримидиновое:

На рисунке выделите 3,5 фосфодиэфирную связь.

Может ли данное соединение быть фрагментом тРНК? Обоснуйте свой ответ.


Пояснение:

ЗАДАНИЕ 11

В арсенале современных лекарственных средств используется препарат, формула которого представлена выше. Это средство зарегистрировано под торговым наименованием Кладрибин. Какие особенности структуры вы заметили у данного препарата? Предположите биологические свойства этого вещества.



Пояснение:

ЗАДАНИЕ 12

В медицине используется препарат Инозин (рибоксин) как предшественник адениловых и гуаниловых нуклеотидов.



Что такое нуклеотиды? Опишите состав и биологическую роль аденозина и гуанозина в организме. Подпишите составные компоненты инозина. На основе структуры инозина объясните, почему это препарат является предшественником АТФ. Опишите предполагаемый механизм образования АТФ из инозина.


Пояснение:

ЗАДАНИЕ 13

Перед вами представлена формула оротовой кислоты, калиевая соль которой используется в медицине под названием «Калия оротат». Это вещество является предшественником пиримидиновых азотистых оснований.



Как вы объясните причину использования данного препарата при ишемической болезни сердца?


Пояснение:

ЗАДАНИЕ 14

Перед вами представлена формула основного компонента препарата «Изопринозин»



Это синтетическое комплексное производное пурина, обладающее иммуностимулирующей активностью и неспецифическим противовирусным действием.

Какие химические компоненты входят в состав данной структуры? Как вы объясните противовирусный эффект данного вещества?


Пояснение:

ЗАДАНИЕ 15*

Аналоги нуклеозидов это группа лекарственных средств, проявляющих активность в отношении генома вирусов, поскольку они предотвращают репликацию вируса в инфицированных клетках. Наиболее часто используется препарат Ацикловир. Как вы объясните механизм действия такого препарата основе его химической структуры? Предположите механизм действия ацикловира.



Пояснение:

ЗАДАНИЕ 16


Пояснение:

ЗАДАНИЕ 17


Пояснение:

ЗАДАНИЕ 18

Ниже представлены две последовательности мРНК:

5 ЦУУЦЦУААУАГУАГАГУЦ 3

5 ЦУЦЦЦАААЦАГЦАГГГУА 3


а) Запишите аминокислотные последовательности, закодированные в данных фрагментах мРНК;


б) Запишите структурную формулу второй аминокислоты в структуре первого пептида.



Таблица «Генетический код»

ЗАДАНИЕ 19

Фрагмент смысловой цепи ДНК имеет следующую нуклеотидную последовательность: 5АТТГЦЦЦАТАТГГТАТГА 3


а) Запишите вторую цепь ДНК.


Запишите последовательность нуклеотидов мРНК, синтезируемой на данном фрагменте молекулы ДНК


б) Какая аминокислота закодирована третьим кодоном? Запишите ее структурную формулу и укажите ее классификацию по характеру бокового заместителя?



ЗАДАНИЕ 20

Фрагмент кодирующей (смысловой) цепи ДНК имеет следующую последовательность нуклеотидов: 5 ГЦАЦААТТГАГГЦЦЦАГТТААГТА 3.


а) Напишите полную аминокислотную последовательность, которая закодирована в указанном фрагменте ДНК


б) Какая аминокислота закодирована четвертым кодоном в структуре м-РНК? Запишите ее структурную формулу и дайте ее классификацию по характеру бокового заместителя?



ЗАДАНИЕ 21

Исследователь биохимической лаборатории выделил следующий фрагмент молекулы мРНК:

5 ГЦГАУУГГГЦГААААЦЦГ 3


а) Запишите аминокислотные последовательности, закодированные в данных фрагментах мРНК;


Запишите антисмысловую (транскрибируемую) и смысловую (кодирующую) цепи ДНК.


б) Какой суммарный заряд имеет этот пептид при рН 7,2, 2,3 и 12,5


Пояснение:

Раздел 4. Сложные белки

ЧТО НЕОБХОДИМО ЗНАТЬ В ДАННОЙ ТЕМЕ?

Основные термины и понятия

Простые белки

Сложные (конъюгированные белки)

Гем

Флавины

Гемоглобин

Миоглобин

Молекулярная масса

Амфотерность

Растворимость

Онкотическое давление

Лиганд

Сродство к лиганду

Знать

Классификацию и особенности строения сложных белков

Примеры сложных белков в каждой группе

Фосфопротеины: определение, функции, выполняемые в биосистемах

Липопротеины: определение, функции, выполняемые в биосистемах

Хромопротеины: определение, функции, выполняемые в биосистемах

Нуклеопротеины: определение, функции, выполняемые в биосистемах

Металлопротеины: определение, функции, выполняемые в биосистемах

Гликопротеины: определение, функции, выполняемые в биосистемах

Серповидно-клеточную анемию

Талассемии

Уметь анализировать формулы

Гема

Миоглобина

Гемоглобина

ПЕРЕЧЕНЬ ЗАДАНИЙ ДЛЯ ВЫПОЛНЕНИЯ

ЗАДАНИЕ 1

Заполните недостающие фрагменты таблицы «Металлопротеины», иллюстрирующей состав и функции сложных белков.


ЗАДАНИЕ 2

На рисунке представлена схема строения сложного белка гемоглобина взрослого человека (HbA).

Покажите, как выглядит график зависимости насыщения кислородом этого белка.

Подпишите оси X (степень насыщения белка кислородом, %), Y (Парциальное давление газа, мм рт. ст).



В той же системе координат покажите зависимость насыщения кислородом двух сложных белков миоглобина (Mb), фетального гемоглобина (HbF). Какова способность всех трех белков к насыщению кислородом?

ЗАДАНИЕ 3

На рисунке представлены графики зависимости насыщения гемоглобина кислородом в разных условиях.



На графике укажите кривую, соответствующую кривой насыщения гемоглобина кислородом при уменьшении концентрации CO

2


Объясните эффект Бора в связывания гемоглобина с кислородом.


На графике укажите кривую, соответствующую кривой насыщения гемоглобина кислородом в отсутствии 2,3-бисфосфоглицерата. Объясните ответ.


Опишите биологическую роль 2,3-бисфосфоглицерата в регуляции связывания гемоглобина с кислородом.

ЗАДАНИЕ 4

Сила, с которой кислород связывается с гемоглобином, зависит сразу от нескольких факторов. Эти факторы сдвигают или изменяют форму кривой диссоциации оксигемоглобина. Сдвиг вправо указывает на то, что исследуемый гемоглобин имеет пониженное сродство к кислороду. Это затрудняет связывание гемоглобина с кислородом (для достижения того же насыщения кислородом требуется более высокое парциальное давление кислорода), но облегчает выделение гемоглобином связанного с ним кислорода.


Заполните недостающие параметры в таблице, описывающей графики зависимости насыщения гемоглобина кислородом в разных условиях.



Пояснение:

ЗАДАНИЕ 5

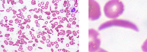
Серповидноклеточная анемия (рисунок картины крови ниже)  наследственная гемоглобинопатия, связанная с таким нарушением строения белка гемоглобина, при котором он приобретает особое кристаллическое строение. Форма гемоглобина больных так называемый гемоглобин S.



Каковы биологические и физико-химические свойства гемоглобина в норме и что меняется при патологии? Дайте объяснение на основе схемы ниже:



Пояснение:

ЗАДАНИЕ 6

Талассемия (рисунок картины крови ниже)  генетическое заболевание, возникает при повреждении генов гемоглобина и тяжесть заболевания зависит от глубины поломки генов. При талассемии наблюдаются характерные изменения в клиническом анализе крови. Резко снижены количество эритроцитов, уровень гемоглобина (при тяжелых формах иногда до 2030 г/л) и цветовой показатель. Эритроциты крови уменьшенного размера, зачастую необычного вида так называемые «мишеневидные».

Ваша оценка очень важна

0
Шрифт
Фон

Помогите Вашим друзьям узнать о библиотеке

Скачать книгу

Если нет возможности читать онлайн, скачайте книгу файлом для электронной книжки и читайте офлайн.

fb2.zip txt txt.zip rtf.zip a4.pdf a6.pdf mobi.prc epub ios.epub fb3