Чорный Иван Г. - Хроническая боль. Эффективная терапия, которая поможет отключить болевые ощущения стр 4.

Книгу можно купить на ЛитРес.
Всего за 369 руб. Купить полную версию
Шрифт
Фон

Представьте, что вы за рулем. Вы останавливаетесь на красном сигнале светофора, как вдруг раздается визг тормозов. Вы смотрите в зеркало заднего вида и видите водителя позади вас с мобильным телефоном руке и с ужасом в глазах. Вы понимаете, что удара не избежать, и, когда он происходит, ваша голова резко дергается назад, а затем вперед. Ай. Это называют хлыстовой травмой шеи, и она часто приводит к головным болям или боли в области шеи. Хлыстовая травма это разновидность растяжения шейных мышц и связок, и, как и при других растяжениях, обычно достаточно нескольких дней отдыха, чтобы она прошла.

Между тем иногда боль от хлыстовой травмы так и не проходит. Когда такое случается, диагностируют синдром хронической хлыстовой травмы. Во многих странах этот синдром приобрел характер эпидемии, и до 10 процентов потерпевших в аварии становятся инвалидами на всю жизнь.

Самое странное здесь то, что, как показали исследования, у синдрома хронической хлыстовой травмы нет никакой структурной основы[14]. Другими словами, тело выздоравливает, а боль по какой-то причине остается.

Группа исследователей решила, что ответ на эту медицинскую загадку можно найти в далекой Северной Европе. Литва небольшая страна на берегу Балтийского моря, известная красивыми пейзажами и отличными баскетбольными командами (баскетбол там национальный вид спорта). Но вот чего вы не найдете в Литве, так это хронических хлыстовых травм. Там есть дороги, есть машины, которые регулярно врезаются сзади друг в друга, однако от хронической боли в шее никто не страдает.

Ученые обследовали сотни жертв аварий с наездом сзади и проследили за процессом их выздоровления. У многих пациентов сразу после аварии болела шея, однако год спустя их состояние ничем не отличалось от среднего по популяции.

 Хронической хлыстовой травмы в Литве попросту не существует[15].

Но если автомобильные аварии не вызывают хронические боли в шее, в чем же тогда кроется их причина?

Исследователи из Германии провели блестящий и немного безумный эксперимент, чтобы выяснить это[16]. Они набрали добровольцев для исследования автомобильных аварий. Участников сажали на водительское сиденье автомобиля, а сзади в него врезался другой автомобиль. Вот только на самом деле это было не так. Все было понарошку. Сами ученые называют это «плацебо-аварией».

Как можно инсценировать автомобильную аварию? Ученые разбивали бутылку, чтобы сымитировать звук удара при столкновении, а с помощью сложной системы шкивов и рампы автомобиль, в котором находились испытуемые, слегка дергался вперед. Фактического контакта с другой машиной не происходило, однако участники эксперимента были полностью убеждены, что в них врезались сзади.

Через три дня после инсценировки столкновения у 20 процентов участников появились боли в шее. Через четыре недели у 10 процентов из них симптомы сохранились. Боль была настоящей, но структурных повреждений в их теле не было. Им попросту неоткуда было взяться, ведь в их машину никто не врезался.

 Источником боли была не шея, а кое-что в мозге участников эксперимента их вера. Они верили, что попали в аварию, и верили, что хроническая хлыстовая травма является возможным побочным эффектом.

Литовцы этой веры не разделяли. Поскольку в их стране хроническая хлыстовая травма не была распространена, жертвам автоаварий в Литве даже в голову не приходило, что боль может сохраниться на столь долгое время. Вот она и проходила.

Каким же образом вера в возможность хронической хлыстовой травмы может привести к реальной хронической боли? Ответ на этот вопрос вы найдете в третьей главе, а пока скажу лишь, что наш мозг, очевидно, достаточно мощен и сложен, чтобы генерировать и поддерживать болевые ощущения. Это звучит парадоксально, поскольку кажется, что боль исходит от нашего тела, однако в действительности она является нейропатической и исходит от нашего мозга. И это отличная новость: если мозг способен вызывать у нас боль, то он способен и избавить нас от нее.

Больная спина и хроническая хлыстовая травма это лишь два примера хронических заболеваний, зачастую вызываемых нейропатической болью. У меня в запасе есть истории и исследования о многих других видах боли, включая головную, боль в животе, в области таза, суставах, невралгию, синдром раздраженного кишечника, а также травмы от повторяющихся нагрузок. Я не стану вдаваться в детали о каждой из них, замечу лишь, что мы с моими сотрудниками успешно лечили их все с помощью терапии переработки боли.

В каждом случае пациенты испытывали физические симптомы, однако физическое лечение не помогало. Когда мы взялись не за тело, а за мозг, пациенты наконец смогли избавиться от своей боли. Это возвращает нас к Кейси моему пациенту с болью в животе, ставшему героем передачи «Врачи».

Исцеление Кейси

Кейси и его семья сидели в моем кабинете, стараясь не обращать внимания на двух операторов в паре метров от них. Мама Кейси, сдерживая слезы, рассказала мне его историю. Она сказала:

 Мы перепробовали все. Лекарства, процедуры, операции Ничего не помогло.

Я объяснил Кейси, в чем суть нейропатической боли: наш мозг создает очень реальные болевые ощущения даже при отсутствии травмы,  и добавил, что от этой боли можно избавиться. Кейси почувствовал проблеск надежды, и по его лицу потекли слезы.

 Мы все исправим, дружок,  сказала его мама, изо всех сил стараясь поверить в собственные слова.

Мы с Кейси встречались раз в неделю. Мы обсуждали, как развивается его боль и почему она не проходит. Я научил его элементам терапии переработки боли, и мы вместе тренировались их выполнять.

Четыре недели спустя он без боли размахивал бейсбольной битой в моем кабинете. Через шесть недель он уже бегал на полной скорости по коридору (к большому удивлению моих коллег).

 Через три месяца ему удалось полностью избавиться от боли.

Вскоре после этого он вернулся в школу, где ему было самое место. А еще его взяли центральным принимающим в школьную команду по бейсболу!

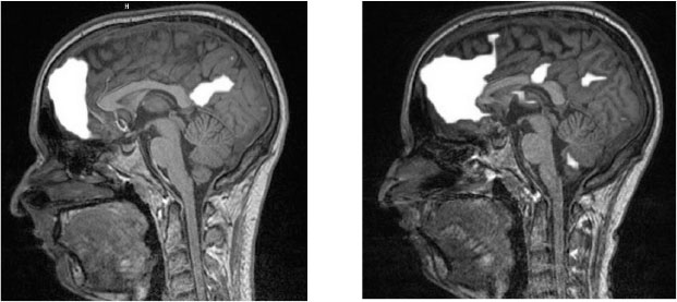
По просьбе продюсеров передачи «Врачи» мы сделали фМРТ мозга Кейси до начала лечения и по его окончании[17]. В медицинской литературе полно фМРТ-снимков людей, испытывающих боль разной интенсивности, однако никому в голову не пришло изучить, как выглядит мозг после излечения от хронической боли. Будут ли в мозге Кейси заметные изменения?


Мозговая активность Кейси до начала лечения (слева) и после его окончания (справа)


Несколько дней спустя мне позвонил радиолог, который проводил фМРТ Кейси.

 Это невероятно,  сказал он.  Разница между двумя снимками просто ошеломляющая.

Он сразу же мне их отправил.

По прихоти ток-шоу мы провели первое в мире фМРТ-исследование в области лечения хронической боли. Я смотрел на невероятные различия в снимках Кейси до и после лечения и думал: «Мозг этого парня может изменить мир».

Новое понимание боли

Снимки мозга Кейси поражали воображение. Они демонстрировали явные изменения в медиальной префронтальное коре (cortex praefrontalis), прилежащем ядре (nucleus accumbens) и передней островковой доле (anterior insula). У этих участков мозга две общие черты: все они звучат на латыни как заклинания из Гарри Поттера[18], и все они участвуют в обработке болевых ощущений[19].

Результаты Кейси выглядели заманчиво, но это был лишь единичный случай. Случайны ли эти изменения или терапия переработки боли действительно перестроила мозг Кейси? Мы знали, что с этим вопросом нам сможет помочь только один человек всемирно известный нейробиолог Тор Вагер. За последние 10 лет произошла революция в нашем понимании боли, и Тор Вагер был в первых ее рядах.

Ваша оценка очень важна

0
Шрифт
Фон

Помогите Вашим друзьям узнать о библиотеке

Скачать книгу

Если нет возможности читать онлайн, скачайте книгу файлом для электронной книжки и читайте офлайн.

fb2.zip txt txt.zip rtf.zip a4.pdf a6.pdf mobi.prc epub ios.epub fb3