Голова Ирина - Совершенное зрение без очков. Лечение несовершенного зрения без помощи очков стр 10.

Шрифт
Фон

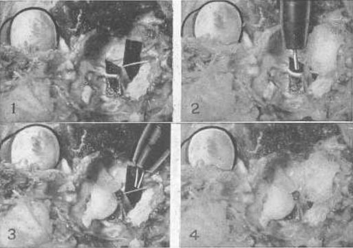
Рис. 22. Эксперимент на примере глаза кошки, демонстрирующий то, что четвертый нерв, который снабжает только верхнюю косую мышцу, является точно таким же нервом аккомодации, как и третий, и что верхняя косая мышца, которую он снабжает, есть мышца аккомодации

 1 Оба нерва были выведены наружу возле их основания в головном мозге, и полоска черной бумаги была вложена позади каждого, для того чтобы изображение можно было увидеть. Четвертый нерв это тот, что поменьше. Верхняя косая мышца была перемещена путем подгибания. Так как эта мышца всегда недоразвита у кошек, то до тех пор, пока ее натяжение не усиливают, аккомодация у этих животных не воспроизводится. Стимуляция одного или обоих нервов импульсным током способствовала возникновению аккомодации.

 2 Когда четвертый нерв был покрыт ватой, пропитанной нормальным физиологическим раствором, применение импульсного тока вызвало аккомодацию. Когда вата была пропитана однопроцентным раствором атропина сульфата в нормальном физиологическом растворе, не удавалось воспроизвести аккомодацию, но стимуляция третьего нерва воспроизводила ее.

 3 Когда третий нерв был покрыт ватой, пропитанной нормальным физиологическим раствором, воздействием импульсного тока была воспроизведена аккомодация. Когда вата была смочена атропина сульфатом в нормальном физиологическом растворе, то не удавалось воспроизвести аккомодацию, но стимуляция четвертого нерва аккомодацию все же вызывала.

 4 Когда оба нерва были покрыты ватой, пропитанной атропина сульфатом в нормальном физиологическом растворе, применение электричества к вате не вызывало возникновения аккомодации. Когда органы были вымыты в теплом физиологическом растворе, стимуляция электрическим током каждого нерва всегда воспроизводила аккомодацию. Нервы попеременно покрывались ватой, смоченной атропином, а затем промывались теплым физиологическим раствором за один час до применения электрического тока в каждом из состояний с теми же результатами. Аккомодация никогда не могла быть воспроизведена при помощи стимуляции электрическим током, когда нервы были парализованы атропином, но всегда происходила при стимуляции каждого или обоих нервов, когда их промывали физиологическим раствором. Эксперимент был проведен с теми же результатами, что и с множеством кроликов и собаками.


Можно с уверенностью сказать о том, что во всех экспериментах все источники ошибок были исключены. Эксперименты были проведены повторно много раз и всегда с тем же результатом. Поэтому в их правдивости нет причин сомневаться, а именно в том, что ни хрусталик, ни какая-либо мышца внутри глазного яблока не имеют ничего общего с аккомодацией, а процесс настройки глаза на зрение на различные расстояния полностью контролируется действием мышц, находящихся на внешней части глазного яблока.


Рис. 23. Разрушение спинного мозга рыбы для подготовки к операции на ее глазах

Эта операция производится для того, чтобы установить максимальную релаксацию мышц глаз и головы, которые будут работать в течение нескольких часов без воздействия извне, если клетки головного мозга не разрушены зондом.


Глава V. Правда об аккомодации. Демонстрация в процессе изучения изображений отраженных от хрусталика, роговицы, радужки и склеры

Выводы, полученные из опытов, описанных в предыдущей главе, были диаметрально противоположны тем выводам, которые получил Гельмгольц при изучении изображений, отраженных от передней поверхности хрусталика. Поэтому я решил повторить эксперименты немецкого исследователя и по возможности найти объяснение, почему его результаты так сильно отличались от моих. Я посвятил этой работе четыре года и смог продемонстрировать, что Гельмгольц ошибся, выбрав неправильную технику проведения эксперимента: изображение, полученное его методом, было настолько изменяющимся и неясным, что с его помощью можно было подтвердить практически любую возможную теорию. Я работал год или дольше с техникой Гельмгольца, но мне так и не удалось получить изображения с передней поверхности хрусталика, которое было бы достаточно ясным или достаточно разборчивым для того, чтобы его можно было измерить или сфотографировать. Используя огонь свечи в качестве источника света, можно было получить чистое и ясное изображение с роговицы; на задней поверхности хрусталика оно было достаточно ясным; но на передней поверхности оно было очень далеким от совершенства. Как констатировал сам Гельмгольц, оно было не только размытым, но и безо всякой на то причины сильно изменялось в размере и интенсивности. Порой совсем никакого изображения не удавалось получить вне зависимости от того, под какими углами ни располагался бы свет по отношению к глазу исследуемого или к глазу исследователя. Используя диафрагму, я смог получить более ясное и более устойчивое изображение, но оно по-прежнему не поддавалось замеру. Гельмгольцу казалось, что нечеткие изображения открытого пламени свечи указывали на существенное изменение, тогда как изображения, полученные с помощью диафрагмы, показывали это более ясно; но мне так и не удалось ни с помощью диафрагмы, ни без нее получить какого-либо изображения приемлемой для меня четкости.


Рис. 24. Установка для фотографирования изображений, отраженных от глазного яблока

СМ, вогнутое зеркало, в которое исследуемая может наблюдать изображения, отраженные от различных участков ее глаз; С, конденсор; D, диафрагма; L, 1000-ваттная лампа; F, упор для лба; МР, перекладина, за которую исследуемая держится зубами, для того чтобы ее голова оставалась неподвижной; Р, плоское зеркало, над которым расположена буква шрифта «диамант» и в котором отражается таблица Снеллена, находящаяся позади исследуемой на расстоянии двадцати футов (зеркало чуть выше Р); САМ, фотоаппарат; Pr, периметр, используемый для измерения угла между светом и глазом; R, плоское зеркало, отражающее свет от 1000-ваттной лампы над глазом: без этого зеркала глаз будет находиться в полной темноте, за исключением той его части, от которой будет отражаться сильно сжатое изображение нити накала; В, экран из голубого стекла, используемый для легкого приглушения света, отраженного от зеркала R. Когда исследуемая читала нижнюю строку таблицы Снеллена, отраженную в зеркале Р, ее глаз находился в покое, но когда она увидела букву шрифта «диамант» четко, ретиноскоп зарегистрировал аккомодацию в десять диоптрий.


Люди, преподававшие и демонстрировавшие теорию Гельмгольца, повторили для меня его эксперименты; но изображения с передней поверхности хрусталика, полученные ими, не показались мне лучше тех, что получил я сам. После тщательно изучения этих изображений почти ежедневно в течение более чем одного года я так и не смог сделать какого-либо приемлемого заключения на предмет эффекта аккомодации. В действительности казалось, что, используя свечу в качестве источника освещения, по изображению на передней поверхности хрусталика можно было наблюдать проявления бесчисленного множества различных явлений. Иногда во время аккомодации изображение уменьшалось в размере и, казалось, удовлетворяло теории Гельмгольца; но, с другой стороны, столь же часто оно увеличивалось. В другие разы было просто невозможно как-либо интерпретировать то, что происходило с этим изображением.

Применение 30-ваттной, 50-ваттной, 250-ваттной и 1000-ваттной ламп не помогло получить более качественных изображений. Солнечный свет, отраженный от передней поверхности хрусталика, создавал такое же неясное изображение, как и отражения от других источников освещения, и оно было такой же изменяющейся формы, интенсивности и размера. В результате всего описанного выше я убедился в том, что передняя поверхность хрусталика очень плохой отражатель света и ни один из вышеуказанных способов не позволяет получить на ней приемлемых изображений.

Ваша оценка очень важна

0
Шрифт
Фон

Помогите Вашим друзьям узнать о библиотеке

Скачать книгу

Если нет возможности читать онлайн, скачайте книгу файлом для электронной книжки и читайте офлайн.

fb2.zip txt txt.zip rtf.zip a4.pdf a6.pdf mobi.prc epub ios.epub fb3