Сильвестров Дмитрий Владимирович - Наш креативный мозг. Как человек и мир творят друг друг стр 5.

Книгу можно купить на ЛитРес.
Всего за 399 руб. Купить полную версию
Шрифт
Фон

3. Внутриматочное развитие

После зачатия оплодотворенная яйцеклетка развивается в матке, превращаясь в ребенка. До сих пор не прекращается дискуссия о том, определяется ли то или иное из наших свойств задатками или средою. Только задатки выражаются, например, в интуитивном поведении новорождённого младенца. Если бы мы не могли интуитивно находить сосок материнской груди и сосать, нас вообще не было бы на свете.

Интуиция также играет роль при возникновении чувства страха. Для нас намного выгоднее испытывать страх перед змеей, чем пугаться цветка. У обезьян, которые никогда не видели змею, были найдены клетки мозга, которые резко «вспыхивают»  то есть становятся электрически активными и обмениваются информацией с другими клетками мозга,  если обезьяна встречает змею. Этот страх усвоен приматами в процессе эволюции. И мы получили многое в своем поведении, включая кирпичики для наших моральных норм (см. главу IV.7), генетически в ходе эволюционного развития.

Решающим является то, что наш мозг с самого начала развивается главным образом благодаря интенсивному взаимодействию между задатками и средой. В период развития мозга наш генетический фон интенсивно взаимодействует с внешней средой. Окружение нервной клетки формируется миллиардами нервных клеток вокруг, химическими веществами, выделяемыми этими клетками, гормонами плода, гормонами и питательными веществами матери и химическими веществами, которые проникают из внешней среды и попадают в плаценту. Наше индустриальное общество оказывает постоянное влияние на плод в матке, например через химикалии в тонкой пыли, порожденной автомобилями и промышленностью, которая проникает в плаценту, влияет на развитие мозга и тем самым увеличивает риск аутизма. Информация, приходящая через органы чувств, также влияет на развитие мозга в течение всего периода внутриутробного развития. Следы чеснока в околоплодных водах позднее скажутся на вкусе ребенка; музыка, которую слышит ребенок во второй половине беременности, он будет помнить еще в течение месяцев после появления на свет.

Наличие генных взаимодействий с внешней средой явствует, например, из наблюдений, что чувствительность мозга ребенка к факторам окружающей среды находится в зависимости от генетического фона. Если женщина курит во время беременности, а в генетическом фоне ребенка имеется два варианта дофаминовых рецепторов, то опасность синдрома дефицита внимания и гиперактивности (ADHD) возрастает в 9 раз в сравнении с отсутствием этих генетических вариантов.


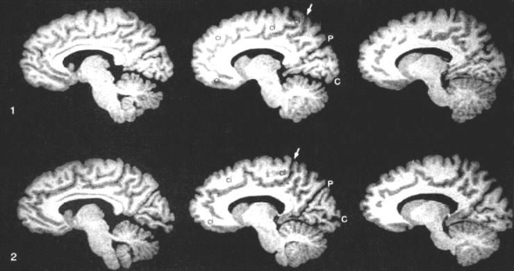
MRI-скан мозга однояйцевых близнецов. Между P и стрелкой у ребенка в верхнем ряду 3 мозговые извилины, а у ребенка в нижнем ряду 4 (Steinmetz H., Herzog A., Huang Y., Hacklander T. Discordant Brain-Surface Anatomy in Monozygotic Twins // The New England Journal of Medicine. 1994.  331. P. 951952). Паттерн мозговых извилин и борозд формируется главным образом в течение трех последних месяцев беременности. Таким образом, причина этих негенетических различий должна возникать именно в этот период.


Дородовой стресс беременной женщины позднее может привести у ребенка к проблемам в поведении и темпераменте, аутизму, ADHD, депрессии и страхам. Стрессовые события во время беременности, такие как болезни, финансовые трудности, насилие со стороны партнера, могут иметь длительное влияние на развитие мозга ребенка. В возрасте 7 лет детей иследовали при помощи диффузионной тензорной магнитно-резонансной томографии (MRI-DTI), методики, позволяющей видеть сканы соединений между структурами мозга. Стрессовые события во время беременности коррелировали у детей со структурными изменениями в связях между миндалевидным телом и префронтальной корой. Из-за этого дети впоследствии будут иначе реагировать на стрессы и страх.


В момент появления на свет мозг ребенка уже совершенно индивидуален. Это происходит благодаря взаимодействию между генетическим фоном, факторами среды, воздействующими на развитие мозга в матке, локальной самоорганизации в областях мозга и случайностям, играющим здесь большую роль. Это означает также, что у каждого человека будут свои таланты и ограничения и что каждый будет вести себя по-своему, иначе реагировать на внешний мир, по-иному испытывать удовольствие. Так возникает громадное разнообразие индивидов, как всегда было в процессе эволюции и всегда будет впредь. Поэтому нам следует лучше принимать различия между людьми, как это всегда провозглашал буддизм и как призвал папа Франциск в Рождественском послании 2013 года, впрочем, без ссылок на эволюцию.

4. Изучение близнецов

Изучение близнецов показывает, что генетические факторы играют немалую роль в развитии мозга. При исследовании сравнивают идентичных близнецов, у которых идентичны 100 % генов, с неидентичными близнецами, у которых общими являются 50 % генов. Из изучения близнецов следует, например, что наше ощущение счастья задано генетически на 40 %, а наш взрослый IQ более чем на 80 %.

Из изучения близнецов следует также, что количество серого вещества (нервные клетки мозга и контакты) и белого вещества (нервная ткань) от 82 до 90 % определяется наследственностью. Но для объема различных областей мозга наследственный фактор очень разнится и составляет от 17 до 88 %.

Исследования близнецов показали, что толщина префронтальной коры на 80 % определяется генетическим влиянием, но они выявили также и то, что толщина коры париетальных (теменных) ассоциативных областей более чем на 80 % формируется под влиянием окружения. Степень влияния окружения, таким образом, сильно варьируется в различных областях мозга. В предположениях относительно исследования близнецов в настоящее время нужно, пожалуй, кое-что изменить. Так, всегда думали, что однояйцевые близнецы должны быть генетически идентичны. Но исследования с помощью Нидерландского регистра близнецов показали, что и после оплодотворения, в матке, также могут возникать генетические различия (ил. 5)

Конечно, структура нашего мозга и наше поведение определяются не только генетикой. Основанием для различий в характере идентичных близнецов могут быть различия в их мозге, заметные с первого взгляда. Развитие мозга, выраженное в паттерне извилин и борозд, уже во время беременности должно находиться под сильным влиянием негенетических факторов, например несколько иной окружающей среды в матке и локальных процессов самоорганизации. В этих процессах клетки мозга конкурируют за лучшую организацию связей (см. ниже). После рождения обучение также играет роль в возникновении структурных и функциональных различий в мозге, как это следует, например, из профессиональных различий музыкантов и шоферов такси (см. главу XV.2).


Сиамские близнецы Эбби и Бриттани Хенсел. «We are totally different persons!» [«Мы совершенно разные люди!»].


Каждый мозг уникален. Впечатляющая иллюстрация этого американские сиамские близнецы Эбби и Бриттани Хенсел. У них один и тот же генетический фон, общее тело; с момента зачатия они находились в одной и той же среде и испытывали одни и те же влияния. У каждой из них по одной руке и одной ноге, и поэтому они должны были тесно сотрудничать между собой, чтобы научиться управлять автомобилем. Когда им исполнилось 16 лет и они уже могли получить водительские права, возникла дискуссия, должны ли они получить общие водительские права, или каждая из них в отдельности. Из исследования их мозга стало ясно, какое необходимо было принять решение: это два мозга и две личности, следовательно, права должны быть выданы каждой из них отдельно. В конце небольшого фильма об их жизни они говорят: «Мы две совершенно разные личности!» И родители однояйцевых близнецов рассказывают, что уже в возрасте двух месяцев близнецы хотя и похожи друг на друга, но ведут себя по-разному и у них разный характер.

Ваша оценка очень важна

0
Шрифт
Фон

Помогите Вашим друзьям узнать о библиотеке

Скачать книгу

Если нет возможности читать онлайн, скачайте книгу файлом для электронной книжки и читайте офлайн.

fb2.zip txt txt.zip rtf.zip a4.pdf a6.pdf mobi.prc epub ios.epub fb3